Clinical Image


Bladder diverticula mimicking intraluminal abscesses

,  ,  ,  

1 Resident, Urology, UTHSC, Memphis, TN, USA

2 Urologic Oncologist, Urology, UTHSC, Memphis, TN, USA

Address correspondence to:

Shimron Brown

5559 Bayberry Cove, Memphis, TN 38120,

USA

Message to Corresponding Author


Article ID: 100057Z15SB2025

doi: 10.5348/100057Z15SB2025CI

Access full text article on other devices

Access PDF of article on other devices

How to cite this article

Brown S, Fry W, Aldabek K, Gopal N. Bladder diverticula mimicking intraluminal abscesses. J Case Rep Images Urol 2025;10(2):14–16.

ABSTRACT


No Abstract

Keywords: Bladder abscess, Bladder stones, Diverticulum, Obstructive uropathy

Case Report


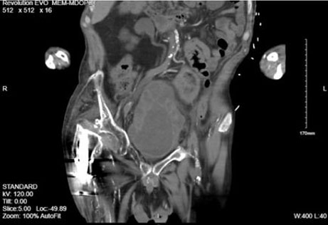
A 62-year-old male with non-oliguric ESRD on hemodialysis along with an indwelling Foley catheter secondary to urinary retention presented to the emergency department (ED) with several days of poor appetite, fever, and decreased output from his urinary catheter. Initial laboratory tests showed leukocytosis with a white blood cell count of 27,000/µL and a fever of 99.5 °F. The Foley was removed, with a significant amount of debris noted at the tip, indicating that it had been clogged. ED nursing staff catheter were unable to replace the catheter. Computed tomography (CT) of the abdomen/pelvis revealed peri-vesical stranding, bladder calculi, and multiple low-attenuation areas within an irregularly thickened bladder wall, suggesting intramural abscesses (Figure 1). No air was noted in the bladder wall or lumen.

Urology was consulted and was able to replace the Foley catheter. The patient was admitted to the intensive care unit (ICU) with a presumed diagnosis of urosepsis with intraluminal bladder abscesses and was placed on broad-spectrum antibiotics.

With empiric antibiotics and conservative management, the patient’s clinical status subsequently improved. The patient did not have any further issues with urethral Foley catheter being clogged. Urine culture grew >100,000 CFU (colony forming units) Proteus mirabilis, with negative blood cultures.

Repeat imaging two days later showed interval decompression of the bladder and the absence of discrete fluid collections within the bladder wall. Asymmetric bladder wall thickening was noted, indicative of bladder diverticuli, some of which had stones (Figure 2). The patient was eventually stabilized and discharged on Cefepime to complete a 14-day course to be dosed along with his home hemodialysis. Follow-up office flexible cystoscopy revealed multiple significant diverticula and numerous punctate bladder stones with no evidence of abscesses or tumors (Figure 3). Taking the cystoscopy and most recent CT findings into account the fluid collections seen within the bladder wall on original CT images were likely due to sediment and pus filling the bladder diverticula secondary to urinary retention from a poorly draining catheter.

Figure 1: Initial CT scan concerning for bladder abscesses. Note the multiple low attenuation fluid collections within the bladder wall circumferentially that do not appear to connect to the lumen of the bladder.

Share Image:

Figure 2: Repeat CT scan done after 48 hours of bladder decompression with replaced catheter and antibiotics for UTI. Fluid collections around bladder that were seen on initial CT scan are no longer present, and instead, circumferential bladder diverticula are noted.

Share Image:

Figure 3: Cystoscopic image of the numerous bladder diverticula, which were likely filled with fluid on patient’s initial presentation, accounting for the unusual imaging findings.

Share Image:

Discussion


True bladder wall abscesses are rare, with only a few cases documented since the mid-19th century [1],[2] [3],[4]. The outcomes of these cases ranged from patients presenting with suprapubic pain and low-grade fevers [1] to being septic requiring several days of intravenous antibiotics [2],[3]. In the majority of cases, patients underwent endoscopic biopsy/resection following the resolution of acute infection, confirming the absence of malignancy. In one case, percutaneous CT drainage was performed following endoscopic biopsy, which confirmed nonmalignant cells [3].

The ambiguity in clinical presentation of bladder wall abscesses often leads to diagnostic dilemmas, with symptoms overlapping those of more common urological conditions such as urinary tract infections (UTIs) and interstitial cystitis. All patients with suspected bladder wall abscesses should undergo cystoscopy to rule out underlying bladder tumor.

Conclusion


This case underscores the complexity of diagnosing bladder wall abscesses, especially in patients with atypical presentations and pre-existing urological conditions. It highlights the necessity of direct visualization via cystoscopy to differentiate between various bladder pathologies accurately. Misdiagnosis can lead to inappropriate management, emphasizing the need for a careful and thorough diagnostic approach.

REFERENCES


1.

Alfarizi ZY, Subekti E, Danarto, Yuri P. A rare case of spontaneous bladder wall abscess mimicking bladder tumour in young women. BMC Urol 2024;24(1):109. [CrossRef] [Pubmed]   Back to citation no. 1  

2.

Abdullatif VA, Novack J, Shalhoub PJ, Campbell TG, Abbott JE. A rare case of bladder neck abscess masquerading as a benign mass. Case Rep Urol 2022;2022:9966553. [CrossRef] [Pubmed]   Back to citation no. 1  

3.

Lawrentschuk N, Gani J, Bolton DM, Angus D. Spontaneous bladder wall abscess. J Urol 2004;171(6 Pt 1):2379. [CrossRef] [Pubmed]   Back to citation no. 1  

4.

Abscess in the neck of the bladder. Boston Med Surg J 1850;43(19):374–5.   Back to citation no. 1  

SUPPORTING INFORMATION


Author Contributions

Shimron Brown - Conception of the work, Design of the work, Acquisition of data, Analysis of data, Drafting the work, Revising the work critically for important intellectual content, Final approval of the version to be published, Agree to be accountable for all aspects of the work in ensuring that questions related to the accuracy or integrity of any part of the work are appropriately investigated and resolved.

William Fry - Conception of the work, Design of the work, Acquisition of data, Analysis of data, Drafting the work, Revising the work critically for important intellectual content, Final approval of the version to be published, Agree to be accountable for all aspects of the work in ensuring that questions related to the accuracy or integrity of any part of the work are appropriately investigated and resolved.

Khaled Aldabek - Conception of the work, Design of the work, Acquisition of data, Analysis of data, Drafting the work, Revising the work critically for important intellectual content, Final approval of the version to be published, Agree to be accountable for all aspects of the work in ensuring that questions related to the accuracy or integrity of any part of the work are appropriately investigated and resolved.

Nikhil Gopal - Conception of the work, Design of the work, Acquisition of data, Analysis of data, Drafting the work, Revising the work critically for important intellectual content, Final approval of the version to be published, Agree to be accountable for all aspects of the work in ensuring that questions related to the accuracy or integrity of any part of the work are appropriately investigated and resolved.

Guaranter of Submission

The corresponding author is the guarantor of submission.

Source of Support

None

Consent Statement

Written informed consent was obtained from the patient for publication of this article.

Data Availability

All relevant data are within the paper and its Supporting Information files.

Conflict of Interest

Authors declare no conflict of interest.

Copyright

© 2025 Shimron Brown et al. This article is distributed under the terms of Creative Commons Attribution License which permits unrestricted use, distribution and reproduction in any medium provided the original author(s) and original publisher are properly credited. Please see the copyright policy on the journal website for more information.