Case Report


Three incidences of bladder perforation in a single patient: A case report

,  

1 Service Registrar, Department of Urology,Royal Perth Hospital, Perth, Western Australia, Australia

2 Consultant Urologist, Department of Urology, Royal Perth Hospital, Perth, Western Australia, Australia

Address correspondence to:

Katie L Valentine

Service Registrar, Department of Urology,Royal Perth Hospital, Perth, Western Australia

Australia

Message to Corresponding Author


Article ID: 100054Z15KV2025

doi: 10.5348/100054Z15KV2025CR

Access full text article on other devices

Access PDF of article on other devices

How to cite this article

Valentine KL, Yuminaga Y. Three incidences of bladder perforation in a single patient: A case report. J Case Rep Images Urol 2025;10(2):24–28.

ABSTRACT


Introduction: Bladder perforation is an uncommon condition, most often arising secondary to trauma but also known to occur spontaneously or iatrogenically. We present the case of a young gentleman who has attended three times over the course of 17 months with bladder perforation secondary to indwelling catheter use (IDC).

Case Report: The patient is a 25-year-old man who obtained a T12 spinal cord injury in July 2020 resulting in neurogenic bladder managed with self-exchanged indwelling catheter (IDC). He presented to the emergency department in April 2023 and was diagnosed with appendicitis, subsequently found at laparoscopy to have intraperitoneal bladder perforation. He presented similarly one year later with perforation at the same site, laparoscopically repaired. Lastly, he presented approximately four months following this with contained perforation, conservatively managed.

Conclusion: Bladder perforation secondary to indwelling catheter use is uncommon, and may present in non-specific and repeated ways, especially in patients who have spinal injury. A wide differential diagnosis is required when patients such as these present generally unwell, or with abdominal pain.

Keywords: Bladder perforation, Catheter, Intraperitoneal perforation, Spinal injury

Introduction


Bladder perforation is an uncommon condition, most often arising secondary to trauma [1] but also known to occur spontaneously or iatrogenically. It may have devastating complications and can be a urological emergency depending on the location of the perforation. Perforations can be classified as intraperitoneal or extraperitoneal. When occurring secondary to trauma, bladder injuries are more commonly extraperitoneal than intraperitoneal (60% vs 30%). There is a subset of patients with extra- and intraperitoneal injuries comprising about 10% of cases [2]. Intraperitoneal ruptures or complicated extraperitoneal injuries are commonly managed operatively with primary closure, extraperitoneal rupture may be managed conservatively with the placement of an indwelling catheter to decompress the bladder if uncomplicated [3], given there are no other pathologies that require the field to be surgically explored.

Indwelling urinary catheters themselves are documented in the literature as the cause of bladder perforation, although this appears to be rare. We present the case of a young gentleman who has attended three times over the course of 17 months with bladder perforation secondary to indwelling catheter use (IDC).

Case Report


The patient is a 25-year-old man who sustained a T12 spinal cord injury July 2020 resulting in neurogenic bladder managed with self-exchanged IDC. He was previously noted at flexible cystoscopy to have a superficial false passage on the ventral surface of the penile-bulbar urethral junction. These were reported as healed at flexible cystoscopy in 2021. He first presented in April 2023 to a regional hospital complaining of a 36-hour history of decreased appetite, right iliac fossa pain, and subjective fevers. An ultrasound abdomen (Figure 1) demonstrated a small amount of free fluid in the right pelvis and a 7 mm blind ending tubular structure with surrounding hyperemia, echogenic fat, and local tenderness—felt to be in keeping with acute uncomplicated appendicitis. He subsequently proceeded to laparoscopic appendectomy and was found intraoperatively to have appendix and omentum adherent to his bladder, underneath which his IDC was seen to have eroded into the peritoneal cavity. The defect was laparoscopically repaired and patched with omentum, and an IDC reinserted. The bladder was noted to appear chronically inflamed [thickening of bladder wall noted on CT 2 months prior (Figure 2)]. He was managed post-operatively with intravenous (IV) antibiotics and discharged five days later. Computed tomography (CT) cystogram 10 days later showed no leak (Figure 3). He was discharged with an IDC at this time.

His second presentation to the same regional hospital occurred approximately 1 year later, when he presented with a 1 day history of abdominal pain, having been using long-term urethral catheterization for bladder management, changing it himself every six weeks. Computed tomography abdomen pelvis at the time of initial presentation suggested a potential perforation of bladder, and this was subsequently confirmed on a CT cystogram. Computed tomography cystogram suggested the presence of a surgical clip at the point of contrast leak from the bladder, and proposed the perforation may be at the site of the previous perforation. The proximal end of the indwelling catheter was noted to be approximately 1.5 cm outside the superior bladder wall (Figure 4). He proceeded to laparoscopic repair of bladder, found intraoperatively to have a 1 cm posterolateral injury with adherent omentum. There was purulent fluid in the pelvis which was sent for culture, and he was managed with antibiotics. An SPC was placed at this time. He recovered well post-operatively and was discharged four days post-operatively. An outpatient CT cystogram was arranged, which showed no contrast leak, and the SPC was removed 15 weeks later at patient request. A coude-tip urethral catheter was placed, with a plan to change in six weeks, or for ongoing self-catheterization.

The patient presented two days after the placement of the coude-tip urethral catheter to the regional hospital with haematuria, flank pain, and subjective fevers. Computed tomography performed at the time (Figure 5) demonstrated the IDC tip appearing to extend 11 mm beyond the serosal surface of the bladder with associated inflammatory changes, perforation could not be excluded by the reporting radiologist. The SMC was changed to a non coude-tip, and intravenous antibiotics commenced. The CT was repeated the following day (Figure 6), and contrast visualized within the bladder without significant urine leak. This was felt to be consistent with a contained bladder perforation. He was discharged home with a course of oral antibiotics.

He was reviewed by telephone the following day by the Urology team and advised of the reduced risk of perforation with SPC. He preferred to opt for self-catheterization with non-coude-tip catheters, with a view to recommencing self-catheterization in two weeks. His case was discussed at the Urology-Radiology multidisciplinary team meeting, and he was re-referred to the spinal Urology team for ongoing management and consideration of a urinary diversion.

Figure 1: Image from ultrasound abdomen 2nd April 2023 demonstrating a blind ending tubular structure with surrounding hyperemia, echogenic fat, in keeping with acute uncomplicated appendicitis.

Share Image:

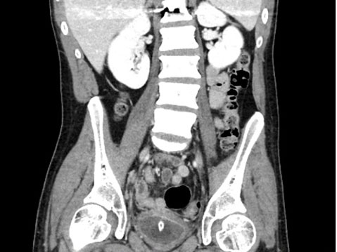
Figure 2: Image from CT abdomen and pelvis 17th February 2023 demonstrating an indwelling catheter within a thick-walled bladder.

Share Image:

Figure 3: Image from CT cystogram 13th April 2023, demonstrating normal appearance of urinary bladder with no evidence of contrast leak.

Share Image:

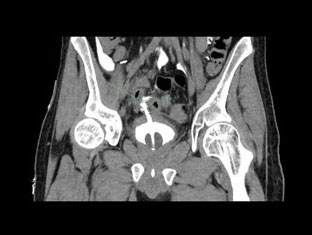
Figure 4: Image from CT cystogram 15th April 2024 demonstrating the proximal end of the IDC located approximately 1.5 cm outside the superior bladder wall, with associated intraperitoneal contrast leak from bladder. Surgical clip noted at the site.

Share Image:

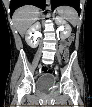
Figure 5: Image from CT abdomen and pelvis 10th August 2024: Indwelling catheter in situ with focal thickening along left bladder wall. The tip of the catheter appears to extend 11 mm beyond the serosal surface of the bladder, with adjacent inflammatory change.

Share Image:

Figure 6: Image from CT abdomen and pelvis 11th August 2024: Contrast evident within the bladder, no contrast external to the bladder to suggest active perforation.

Share Image:

Discussion


Spontaneous bladder rupture or perforation is uncommon, quoted in one study as 1 in 126,000 admissions to hospital [4]. Although most commonly secondary to trauma [1], bladder perforation has been described in the literature to occur (among other causes) following infection, malignancy, and very rarely, iatrogenic intervention in the form of urinary catheter use. Common complications of urinary catheter insertion include discomfort, infection, bleeding, formation of bladder calculi in long-term placements, and iatrogenic hypospadias [5], but note is made of several case reports in the literature describing the unusual phenomenon of perforation.

Mechanisms by which urinary catheters predispose to bladder perforation have been postulated to include reduction in bladder volume due to chronic non-filling, ongoing irritation of the bladder mucosa causing inflammation and mucosal damage, and potentially embedding of the tip of the catheter into the bladder wall leading to localized necrosis [6]. This is in addition to the increased risk of urinary tract infections and cystitis in patients with catheters in situ subsequently predisposing these patients to bladder perforation. Broadly speaking, these can be considered as factors that decrease the integrity and strength of the bladder wall, and factors that increase intravesical pressure [7]. Indeed, Magee et al. [8] describe the case 76M who was diagnosed with intraperitoneal perforation secondary to long term catheter use, who had a second presentation with perforation six weeks later at same site, highlighting the role played by a breach in bladder wall integrity.

Nonspecific presentations are common with bladder perforation, with a high rate of misdiagnosis—21% of 713 patients misdiagnosed in one 2021 study [9]—most commonly as gastrointestinal perforation, peritonitis, or intestinal obstruction, but also as pancreatitis, renal failure, and gastroenteritis. The presentation of bladder perforation can indeed be vague—oliguria, generalized abdominal pain progressing in some cases to peritonitis, and sometimes hematuria [10]. This, in combination with broadly deranged laboratory values—raised inflammatory markers and a marked decline in renal function—may do little to clarify the diagnosis. Imaging in the form of a cystogram is optimal to make the diagnosis; however, non-urological focused imaging may be sufficient to proceed to theatre for surgical exploration in cases where suspicion is high and patient is deteriorating.

In terms of the specific challenges in patients who have experienced spinal cord injuries, there are several case reports describing complications of indwelling catheter use. Diminished or absent sensation and neurogenic bladder contribute to these challenges, patients may have a decreased bladder capacity or detrusor overactivity which can increase the intravesical pressure, as outlined above. In those with higher cord injuries than the patient described in this report, autonomic dysreflexia can lead to a non-specific presentation as patients present with hypertension, diaphoresis, and headache due to the presence of a noxious stimulus—potentially delaying diagnosis of bladder perforation. Patients who intermittently self-catheterize to manage their bladders are also at risk of raised intravesical pressure secondary to poor adherence to schedule.

Conclusion


In conclusion, bladder perforation is known to be often misdiagnosed due to variable and nonspecific presentation, and patients with spinal cord injury often encounter several of the etiological factors predisposing them to this. Many of this cohort require urinary catheters for bladder management and are as such placed at higher risk of infection, inflammation, reduced capacity, and blockage of the tubing. This, in combination with decreased sensation and neurogenic bladder, increases their likelihood of perforating the urinary bladder. This in turn infers a higher risk in future given the subsequent loss of bladder wall integrity following an initial perforation, and the long-term nature of the spinal cord injury requiring ongoing catheterization. In patients who have a long-term catheter and are presenting with abdominal pain or peritonitis, suspicions for bladder perforation should be raised, especially if it is being considered that they may have a bowel perforation.

REFERENCES


1.

Poola S, Mohan A. A Foley fallacy: A case of bladder rupture after “routine” Foley catheter placement. Case Rep Urol 2018;2018:7978126. [CrossRef] [Pubmed]   Back to citation no. 1  

2.

Brandes S, Borrelli J Jr. Pelvic fracture and associated urologic injuries. World J Surg 2001;25(12):1578–87. [CrossRef] [Pubmed]   Back to citation no. 1  

3.

Morey AF, Brandes S, Dugi DD 3rd, Armstrong JH, Breyer BN, Broghammer JA, et al. Urotrauma: AUA guideline. J Urol 2014;192(2):327–35. [CrossRef] [Pubmed]   Back to citation no. 1  

4.

Bastable JR, De Jode LR, Warren RP. Spontaneous rupture of the bladder. Br J Urol 1959;31(1):78–86. [CrossRef] [Pubmed]   Back to citation no. 1  

5.

Ogawa S, Date T, Muraki O. Intraperitoneal urinary bladder perforation observed in a patient with an indwelling urethral catheter. Case Rep Urol 2013;2013:765704 [CrossRef] [Pubmed]   Back to citation no. 1  

6.

Wu B, Wang J, Chen XJ, Zhou ZC, Zhu MY, Shen YY, et al. Bladder perforation caused by long-term catheterization misdiagnosed as digestive tract perforation: A case report. World J Clin Cases 2020;8(20):4993–8. [CrossRef] [Pubmed]   Back to citation no. 1  

7.

Mitchell T, Al-Hayek S, Patel B, Court F, Gilbert H. Acute abdomen caused by bladder rupture attributable to neurogenic bladder dysfunction following a stroke: A case report. J Med Case Rep 2011;5:254. [CrossRef] [Pubmed]   Back to citation no. 1  

8.

Magee GD, Marshall SG, Wilson BG, Spence RA. Perforation of the urinary bladder due to prolonged use of an indwelling catheter. Ulster Med J 1991;60(2):237–9 [Pubmed]   Back to citation no. 1  

9.

Zhang Y, Yuan S, Alshayyah RWA, Liu W, Yu Y, Shen C, et al. Spontaneous rupture of urinary bladder: Two case reports and review of literature. Front Surg 2021;8:721705. [CrossRef] [Pubmed]   Back to citation no. 1  

10.

Jambet S, Facy O, Landreau P, Duperron C, Kretz B. Intraperitoneal rupture of the bladder after urinary catheterization. Clin Pract 2011;1(4):e109. [CrossRef] [Pubmed]   Back to citation no. 1  

SUPPORTING INFORMATION


Acknowledgments

Many thanks to the patient for his consent to proceed with the case report, and his assistance with clarifying the details.

Author Contributions

Katie L Valentine - Conception of the work, Design of the work, Acquisition of data, Analysis of data, Drafting the work, Revising the work critically for important intellectual content, Final approval of the version to be published, Agree to be accountable for all aspects of the work in ensuring that questions related to the accuracy or integrity of any part of the work are appropriately investigated and resolved.

Yuigi Yuminaga - Conception of the work, Design of the work, Acquisition of data, Analysis of data, Drafting the work, Revising the work critically for important intellectual content, Final approval of the version to be published, Agree to be accountable for all aspects of the work in ensuring that questions related to the accuracy or integrity of any part of the work are appropriately investigated and resolved.

Guaranter of Submission

The corresponding author is the guarantor of submission.

Source of Support

None

Consent Statement

Written informed consent was obtained from the patient for publication of this article.

Data Availability

All relevant data are within the paper and its Supporting Information files.

Conflict of Interest

Authors declare no conflict of interest.

Copyright

© 2025 Katie L Valentine et al. This article is distributed under the terms of Creative Commons Attribution License which permits unrestricted use, distribution and reproduction in any medium provided the original author(s) and original publisher are properly credited. Please see the copyright policy on the journal website for more information.