Case Series


Prenatal diagnosis of genital anomalies with MRI: A case series

,  ,  ,  ,  

1 Postdoctoral Researcher, Pediatric Urology Research Enterprise, Department of Pediatric Urology, Children’s Hospital Colorado, Aurora, CO, USA; Division of Urology, Department of Surgery, University of Colorado School of Medicine, Aurora, CO, USA

2 Resident Physician, Department of Urology, University of Utah School of Medicine, Salt Lake City, UT, USA

3 Resident Physician, Department of Anesthesiology, University of California San Diego School of Medicine, La Jolla, CA, USA

4 Associate Professor, Department of Pediatric Radiology, Children’s Hospital Colorado, University of Colorado School of Medicine, Aurora, CO, USA; Director of Fetal Imaging, Children’s Hospital Colorado, Colorado Fetal Care Center, Aurora, CO, USA

5 Professor, Pediatric Urology Research Enterprise and Colorado Fetal Care Center, Department of Pediatric Urology, Children’s Hospital Colorado, Aurora, CO, USA; Division of Urology, Department of Surgery, University of Colorado School of Medicine, Aurora, CO, USA

Address correspondence to:

Towela King

MD, Children’s Hospital Colorado, University of Colorado School of Medicine, 13021 E. 21st Ave, Aurora, CO 80045,

USA

Message to Corresponding Author


Article ID: 100053Z15TK2025

doi: 10.5348/100053Z15TK2025CS

Access full text article on other devices

Access PDF of article on other devices

How to cite this article

King T, LaCouture H, Jiménez DS, Meyers ML, Vemulakonda VM. Prenatal diagnosis of genital anomalies with MRI: A case series. J Case Rep Images Urol 2025;10(1):17–23.

ABSTRACT


Introduction: Fetal magnetic resonance imaging (MRI) is commonly used as an adjunct to prenatal ultrasound (US) in identifying genitourinary abnormalities, but there is no data regarding its accuracy when identifying genital anomalies. To address this gap, this study reviewed our experience with identification of genital anomalies on fetal MRI and the correlation between fetal MRI findings and postnatal diagnosis.

Case Series: An Institutional Review Board (IRB) approved retrospective review was conducted for patients with genital abnormalities noted on fetal MRI. Patients were excluded if the anomaly required no perinatal management steps, such as an isolated foreshortened phallus or due to an unrelated anomaly such as bladder exstrophy. The data collected included patient and maternal demographics, gravida status, prenatal ultrasound and fetal MRI findings, postnatal diagnosis, early postnatal course, and subsequent management. In this series of five patients with clinically significant genital findings on fetal MRI, two patients’ fetal MRI findings were confirmed by postnatal physical exam and/or imaging. Among the two patients with hypospadias in this series, only one was correctly diagnosed on fetal MRI and received postnatal follow-up by urology. Ambiguous genitalia were read in three patients’ fetal MRI with one of those confirmed postnatally. Two of these three patients underwent early rule-out congenital adrenal hyperplasia based on fetal MRI.

Conclusion: A low percentage of patients with genital abnormalities received accurate prenatal diagnosis by fetal MRI. Fetal MRI may not provide an accurate diagnosis for prenatally detected genital findings but may serve as an additional data point to inform early postnatal diagnostics and level of care for patients with syndromic findings, such as ambiguous genitalia associated with congenital adrenal hyperplasia.

Keywords: Fetal magnetic resonance imaging (MRI), Genital anomalies, Genitourinary radiology, Obstetric radiology, Pediatric urology, Prenatal ultrasound

Introduction


Prenatal ultrasound (US) is commonly used for routine screening for urologic anomalies during pregnancy and may prompt the adjunctive use of fetal MRI to support the diagnosis. Urologic anomalies account for 14–40% of all anomalies detected by fetal ultrasonography [1],[2]. Numerous studies have shown that fetal MRI may provide better visualization of the genitourinary (GU) tract than US alone, lead to more accurate diagnosis of urinary pathology, and lead to changes in fetal management [3],[4],[5]. The improved visualization of the GU tract has increased fetal MRI usage in the setting of suspected GU anomalies [6],[7],[8]. Urinary tract findings on MRI may be subtle and require a high index of suspicion along with systematic checklists for accurate diagnosis [8]. Currently, there is a lack of data regarding the accuracy and utility of identifying genital anomalies via fetal MRI. To address this gap, this study reviewed our experience with identification of genital anomalies on fetal MRI and described the clinical utility of this adjunct.

We report on 5 infants retrospectively from a single institution who were found to have genital abnormalities on prenatal US and subsequent fetal MRI obtained in the second and third trimester. A description of patient and maternal characteristics, prenatal ultrasound, fetal MRI findings, postnatal exam and diagnosis, and management is reported for each case.

CASE SERIES


An IRB approved (Colorado IRB #16-0307), exempt retrospective review was conducted for patients referred to the Colorado Fetal Care Center (CFCC) with genital abnormalities noted on fetal MRI between November, 2013 and August, 2021. The CFCC is a multidisciplinary clinic at a quaternary care center specializing in diagnosis, management, and treatment of complicated fetal conditions. Patients were enrolled in the CFCC clinical database that included a research consent waiver. Patients in this cohort were referred to the CFCC after abnormal GU findings on routine prenatal US and were subsequently evaluated at the CFCC with a diagnostic fetal US and fetal MRI, which is the standard of care at this center. Patients were included if the fetal MRI demonstrated abnormal genitalia, and they had a documented postnatal physical exam.

This study did not seek to characterize patients with genital anomalies related to bladder exstrophy. The findings associated with exstrophy (foreshortened, dorsal cordee phallus of the exstrophy-epispadias complex) are the exception to the paucity of data related to the utility of fetal genital MRI, as it is a mainstay in characterizing the condition [9]. Patients were excluded if the anomaly was an isolated foreshortened phallus in the absence of GU and non-GU anomaly, or if the genital anomaly was due to an unrelated anomaly (i.e., bladder exstrophy). An additional 5 patients were excluded as no urologic or endocrine consultation was indicated for their genital abnormality, nor was their genital abnormality relevant to their postnatal course. Fetal genital MRI findings were insignificant among the more clinically significant multisystemic findings that led to early interventions including increased level of neonatal care in these 5 excluded patients. Table 1 describes the patients with genital anomalies who had no urologic management and/or had genital MRI findings incidentally read on fetal MRI that otherwise demonstrated clinically significant multisystemic anomalies with poor neonatal prognoses.

The data collected included patient demographics, gravida status, reason for referral to the CFCC, US and MRI findings, any additional syndromic features or other anomalies, postnatal diagnosis, the postnatal course, and follow-up interventions.

A summary of the prenatal US, subsequent fetal MRI, and postnatal exam and imaging findings is listed in Table 2.

Case 1

This was a female baby born to a 20-year-old mother G4P0030 referred to the CFCC for intrauterine growth restriction (IUGR) and ambiguous genitalia on US, noted to be a phallus with labioscrotal folds with no other anomalies noted. Fetal MRI demonstrated an abnormal appearance of the external genitalia characterized by morphologic labia majora and an intervening genital protuberance, possibly reflecting clitoromegaly/phallus. The uterus was visualized in the fetal pelvis, but no gonads were visible. There was also broadening of the column of bright T1-weighted meconium signal in the rectum, which in the setting of abnormal genitalia raised the suspicion for underlying anorectal malformation (Figure 1).

This patient’s postnatal diagnosis was ambiguous genitalia, imperforate anus, rectovaginal fistula (RVF) with urine and stool output via RVF without obstruction, two vaginas, two sets of labia, and a duplicated clitoral hood and urethra with a central lesion on her mons pubis that was primarily composed of cystic and fatty tissue. Early postnatal course involved confirmation of suspected imperforate anus, neonatal intensive care unit (NICU) transfer, and surgical planning due to concern for anuria and fecal obstruction. The patient remained NPO (nothing by mouth) with parenteral nutrition infusing through umbilical venous catheterization with an orogastric tube to suction. Once it was determined that the patient was able to void and stool via central introitus, she was able to feed ad libitum on 20 kcal breast milk. A pelvic MRI on day of life (DOL) 4 demonstrated a normal-appearing uterus, without clear visualization of the gonads within the inguinal canal and the fatty adipose mass on the mons was further characterized as such. She underwent surgical repair of her anorectal malformation, excision of the duplicated external genitalia, urethra, and the pubic mass at two months of age. She took adequate volumes to gain appropriate weight and is voiding and stooling appropriately through her neoanus. She is now three years old and followed up with urology for her initial post-operative visit and renal-bladder US demonstrated no evidence of hydronephrosis or bladder pathology.

Case 2

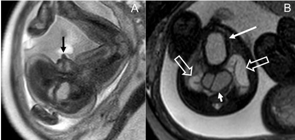
This was a male baby born to a 24-year-old mother G2P0010, referred to the CFCC for multiple fetal anomalies noted on US. Early fetal US showed small, ambiguous genitalia and cystic left pelvic kidney. Fetal MRI findings showed abnormal external genitalia with inverted position of the scrotum and phallus, not ambiguous genitalia. Flattened or squared-off termination of the phallus suggesting hypospadias was also noted. There was abnormal abrupt termination of the meconium column on T1-weighted fetal MRI images at the level of the distal descending colon with absent anal dimple, suggesting imperforated anus. Additional syndromic features/anomalies on fetal MRI included a multicystic dysplastic left kidney and normal right kidney (Figure 2).

This patient’s postnatal diagnosis was hypospadias, penoscrotal translocation, and rectourethral fistula with imperforate anus. Early postnatal course included immediate colostomy with mucous fistula, and initial parenteral nutrition via central line. Small volume feeds were initiated as bowel function tolerated it. At time of discharge, the patient was eating 24 kcal and voiding/stooling well. He is now six years old and thriving after colorectal and urethral reconstruction at five months of age and genital reconstruction at two years of age.

Case 3

This was a female baby born to a 35-year-old mother G3P0020, referred to the CFCC for ambiguous genitalia versus hypospadias by US in the setting of XY cell free DNA. The US read as a bifid penis with empty scrotum and prominent mons fat consistent with severe hypospadias and physiologic cryptorchidism. Fetal MRI findings showed a prominent clitoris and labia majora. The prominent clitoris gave a pseudo-tulip sign appearance and was originally read as severe hypospadias with penoscrotal inversion. The uterus was seen posterior to the bladder and anterior to the rectum in the axial plane images on US but poorly demonstrated on MRI (Figure 3).

This patient’s initial postnatal diagnosis was ambiguous genitalia consisting of prominent clitoris and normal appearing labia and vaginal introitus. Her uterus was visualized but gonads were not visualized on postnatal US. These findings were noted as ambiguous due to the XY cell free DNA found during pregnancy. Early postnatal course included the finding of XX chromosomes on postnatal karyotype, which matched her phenotypically female physical exam findings. This patient was evaluated by urology on DOL 7 and her diagnosis was changed from ambiguous genitalia to normal female genitalia with prominent clitoris. Endocrine evaluation was negative for congenital adrenal hyperplasia, and her prominent clitoris is believed to be due to her mother’s polycystic ovarian syndrome and related hormonal stimulation. The patient was observed and did not have any urogenital complications. She is now six years old and thriving, requiring no further urologic follow-up.

Case 4

This was a female baby born to a 36-year-old mother G4P2, referred to the CFCC for twins with gastrointestinal and GU anomalies in one twin, including urinary bladder thickening and distension, dilated uterus with a septum, collecting systems and distal colon, and ambiguous likely female genitalia. Fetal MRI of twin B showed ambiguous, likely female, genitalia and prominent clitoris. There was hydrometrocolpos with a didelphys system. Additional syndromic features/anomalies included thick bladder wall, bilateral hydroureteronephrosis, and abnormally small rectum with posteriorly located anal dimple. In addition, there was dilatation of the descending colon with increased T2, decreased T1 signal suggestive of mixing of urine and stool. These findings were concerning for cloacal malformation (Figure 4).

This patient’s postnatal diagnosis was XX chromosome on fluorescence in situ hybridization (FISH). Postnatal diagnosis included uterus didelphys with hydrometrocolpos, and posterior cloaca with associated anal stenosis. Her clitoris was normal. Early postnatal course included transfer to NICU, foley catheterization through a stenotic accessory urethra, drainage of the large hydrometrocolpos by the interventional radiology team, resection of small bowel with subsequent entero-enterostomy, and colostomy with mucous fistula. She has undergone reconstruction of her cloaca by the colorectal surgery team and vesicostomy by urology. She is now five years old, fully recovered from surgery, and is closely followed by urology and colorectal surgery. Her vesicostomy remains in place due to persistent bladder defunctionalization after her anogenital reconstruction with persistent hydronephrosis and right renal atrophy. Her care team and parents continue to deliberate bladder reconstruction versus diversion.

Case 5

This case was a baby born to a 31-year-old mother G4P1, referred to the CFCC for multiple anomalies involving the face and GU system, specifically right anophthalmia, cleft lip, and right pelviectasis without notable genital US findings. Fetal MRI images showed right central urinary tract dilation, squared off termination of the phallus suggestive of hypospadias. Additional syndromic features/anomalies noted on fetal MRI include hemifacial hypoplasia, right micro/anophthalmia, large central cleft lip and palate, absent nose, nasal septum, vomer and most of bilateral turbinates, abnormal ears, and extremely small gallbladder.

This patient’s postnatal diagnosis included normal appearing male genitalia, specifically, normal appearing phallus, midline meatus, and descended testes bilaterally. Ultrasound on DOL 2 indicated based on prenatal US and fetal MRI revealed urinary tract dilation involving the central calyces suggestive of possible vesicoureteral reflux. Additional findings included right anophthalmia, cleft lip and palate, and an underdeveloped right nare. Early postnatal course included unremarkable post-delivery course. The patient was transitioned with mother then moved to the NICU for nutrition management and subsequently discharged home. Urology identified and followed left grade 3 vesicoureteral reflux on voiding cystourethrogram that resolved by age 2. He is now three years old and is undergoing treatment for his facial anomalies.

Table 1: Descriptions of excluded patients prenatal MRI findings, postnatal diagnosis, and reason for exclusion

Share Image:

Table 2: Case fetal MRI findings and postnatal diagnoses

Share Image:

Figure 1: Axial and sagittal (A, B) T2 Single Shot Fast Spin Echo and axial (C) T2 Steady State Free Precession MR images of a 24 weeks 6 days female fetus showing ambiguous appearance of the external genitalia characterized by morphologic labia majora (black arrow in A) and an intervening genital protuberance (black arrow in B) that may reflect clitoromegaly/phallus. Normal urinary bladder (white arrowhead in C), uterus (open white arrow in C), and rectum (solid white arrow) are visualized within the pelvis (C). (D) shows the postnatal appearance of the external genitalia with double labia majora (white arrows), mons pubis protuberance (black arrow), and the additional finding of imperforated anus, not diagnosed in-utero.

Share Image:

Figure 2: Axial (A and B) and sagittal (C) Single Shot Fast Spin Echo MR images of a 25 weeks 3 days male fetus showing bifid appearance of the scrotum (white arrows in A and C) and a foreshortened and squared off phallus located inferior to the scrotal sacs (black arrows in B and C). Photograph of the same patient’s genitalia at day of life 2 (D).

Share Image:

Figure 3: Axial (A), coronal (B), and sagittal Single Shot Fast Spin Echo (C) MR images of a 27 weeks 6 days female fetus with ambiguous genitalia. See the prominent clitoris (white arrows in all images), prominent labia majora (black arrows in A and B). On the sagittal view, the appearance is similar to our patient in case 3, male sex and penoscrotal transposition. But in this case, the uterus was seen posterior to the bladder and anterior to the rectum in axial plane MRI (open white arrow in A). Gray scale transverse plane (D) and 3D volume rendering US (E) show the same findings.

Share Image:

Figure 4: Axial Single Shot Fast Spin Echo (A) and axial Steady State Free Precession (B) MR images of a 32 weeks 6 days fetus showing enlarged clitoris (black arrow in A), enlarged bladder with thickened wall (long white arrow in B), duplicated vagina (short white arrow in B), and bilateral hydroureter (open white arrows in B).

Share Image:

Discussion


Fetal MRI has emerged in the last two decades as an adjunct method of evaluation to fetal US. It is primarily used in the setting of high suspicion for fetal anomalies detected by screening prenatal US and the literature shows a plethora of studies showing how it aids to specifically improve the diagnoses of fetal urinary anomalies [10]. One retrospective study of 46 fetuses found the overall diagnostic sensitivity of fetal MRI was 96% compared to ultrasonography with 58% sensitivity (p<0.05) [11]. Another retrospective study of 39 fetuses showed fetal MRI modified the initial sonographic diagnosis in 36% of patients [12]. It is important to note that these studies contained zero fetuses with suspected abnormal genitalia. While fetal MRI improves visualization of the urinary tract, there is a paucity of data showing the accuracy of fetal MRI in diagnosing genital anomalies. This gap may be due to the terminology used to identify genital abnormalities such as hypospadias, clitoromegaly, short phallus, etc. compared to ambiguous genitals or general genital abnormalities. With our case review, we tried to bridge this literature gap by sharing our center’s experience.

In the five patients in this series with abnormal findings of the genitalia on fetal MRI, 40% of the findings (2/5) were confirmed by postnatal diagnosis. Ambiguous genitalia were described in 3 fetal MRIs, hypospadias was described in the remaining 2 fetal MRIs. Of the patients with fetal MRI showing ambiguous genitalia, 33% (1/3) were confirmed by postnatal diagnosis. Only 50% (1/2) of patients with hypospadias in this series on fetal MRI were confirmed postnatally. The differences between existing literature and our study may be related to utilizing the reported findings rather than re-reading or confirming inter-rater reliability in MRI reads, resulting differences in diagnosing abnormal genitalia versus other tract abnormalities or syndromic features.

The utility in prenatal diagnosis of genital anomalies in the early postnatal course varied depending on the degree of additional syndromic features. For example, the fetus in case 3 showed XY karyotype on prenatal cell free DNA with a uterus, enlarged clitoris, and labia majora, but no other syndromic features on fetal MRI. The baby’s postnatal course was uncomplicated and was found to have normal female genitalia and XX karyotype. In contrast, case 1 showed a female fetus with concern for ambiguous genitalia requiring NICU transfer, early confirmatory exams and management of anogenital fistula in the context of vaginal duplication along with numerous additional neurologic, urinary, and gastrointestinal anomalies. Prenatal genital imaging led to early rule out of congenital adrenal hyperplasia in 66% (2/3) of the cases where fetal MRI demonstrated concern for ambiguous genitalia.

In these five patients with genital anomalies detected on fetal MRI, the diagnostic accuracy was low. Variables contributing to this in this sample include diagnoses with subtly radiographic signs (i.e., hypospadias, ambiguous genitalia), and imaging limitations such as fetal motion, oblique planes, or partial visualization of the genitalia area by overlapping fetal structures. Our study also had methodologic limitations in forgoing re-reading MRI and US exams for the purpose of this study to demonstrate our practice experience. Radiologists may overread genital findings when they are in association with other syndromic findings, or underread in the same context when prioritizing reporting concerning craniofacial and cardiac abnormalities. Additionally, our patient population and small sample size limit the results’ generalizability. While the diagnostic accuracy in this cohort was low and varied by diagnosis given, this does not reflect the true diagnostic accuracy and utility of fetal MRI. These cases demonstrate instances where prenatal diagnosis aids the clinicians in determining the best location for delivery. This review does not include false negative fetal MRIs and is selected to demonstrate instances where genital diagnoses affect the clinical course. The patients excluded from this case series had multisystemic abnormalities with no diagnostics or interventions indicated by their genital findings. Thus, this series is limited in evaluating overall diagnostic accuracy of fetal MRI for genital anomalies.

Conclusion


Fetal MRI can be an adjunct to prenatal US for diagnosing clinically significant genital abnormalities. The value of fetal MRI for diagnosing genital anomalies is best demonstrated in cases where virilization is suspected based on prenatal US. Fetal MRI can be used to inform the early postnatal care plan by prompting early testing for congenital adrenal hyperplasia (CAH) in the neonate and allowing providers and parents to anticipate an increased level of care or surgical planning for the neonate. Larger studies are needed to quantify the accuracy and assess the sensitivity, specificity, and utility of identifying genital anomalies by fetal MRI.

REFERENCES


1.

Callen Peter W, Filly Roy A, Feldstein Valerie A. Ultrasonography in Obstetrics and Gynecology. Philadelphia: Saunders; 2000. p. 515–50.   Back to citation no. 1  

2.

Roberto R, Gianluigi P, Philippe J, Alessandro G, John HC. The urinary tract and adrenal glands. Prenatal Diagnosis of Congenital Anomalies. Appleton & Lange; Connecticut: Norwalk, USA 1988;255: p. 307.   Back to citation no. 1  

3.

Caire JT, Ramus RM, Magee KP, Fullington BK, Ewalt DH, Twickler DM. MRI of fetal genitourinary anomalies. AJR Am J Roentgenol 2003;181(5):1381–5. [CrossRef] [Pubmed]   Back to citation no. 1  

4.

Alamo L, Laswad T, Schnyder P, et al. Fetal MRI as complement to US in the diagnosis and characterization of anomalies of the genito-urinary tract. Eur J Radiol 2010;76(2):258–64. [CrossRef] [Pubmed]   Back to citation no. 1  

5.

Cassart M, Massez A, Metens T, et al. Complementary role of MRI after sonography in assessing bilateral urinary tract anomalies in the fetus. AJR Am J Roentgenol 2004;182(3):689–95. [CrossRef] [Pubmed]   Back to citation no. 1  

6.

Levine D, Hatabu H, Gaa J, Atkinson MW, Edelman RR. Fetal anatomy revealed with fast MR sequences. AJR Am J Roentgenol 1996;167(4):905–8. [CrossRef] [Pubmed]   Back to citation no. 1  

7.

Kubik-Huch RA, Huisman TA, Wisser J, et al. Ultrafast MR imaging of the fetus. AJR Am J Roentgenol 2000;174(6):1599–606. [CrossRef] [Pubmed]   Back to citation no. 1  

8.

Poutamo J, Vanninen R, Partanen K, Kirkinen P. Diagnosing fetal urinary tract abnormalities: Benefits of MRI compared to ultrasonography. Acta Obstet Gynecol Scand 2000;79(1):65–71. [Pubmed]   Back to citation no. 1  

9.

Inouye BM, Tourchi A, Di Carlo HN, Young EE, Gearhart JP. Modern management of the exstrophy-epispadias complex. Surg Res Pract 2014;2014:587064. [CrossRef] [Pubmed]   Back to citation no. 1  

10.

Chauvin NA, Epelman M, Victoria T, Johnson AM. Complex genitourinary abnormalities on fetal MRI: Imaging findings and approach to diagnosis. AJR Am J Roentgenol 2012;199(2):W222–31. [CrossRef] [Pubmed]   Back to citation no. 1  

11.

Millischer AE, Grevent D, Rousseau V, et al. Fetal MRI compared with ultrasound for the diagnosis of obstructive genital malformations. Prenat Diagn 2017;37(11):1138–45. [CrossRef] [Pubmed]   Back to citation no. 1  

12.

Kajbafzadeh AM, Payabvash S, Sadeghi Z, et al. Comparison of magnetic resonance urography with ultrasound studies in detection of fetal urogenital anomalies. J Pediatr Urol 2008;4(1):32–9. [CrossRef] [Pubmed]   Back to citation no. 1  

SUPPORTING INFORMATION


Author Contributions

Towela King - Conception of the work, Design of the work, Acquisition of data, Analysis of data, Drafting the work, Revising the work critically for important intellectual content, Final approval of the version to be published, Agree to be accountable for all aspects of the work in ensuring that questions related to the accuracy or integrity of any part of the work are appropriately investigated and resolved.

Hunter LaCouture - Conception of the work, Design of the work, Acquisition of data, Analysis of data, Drafting the work, Revising the work critically for important intellectual content, Final approval of the version to be published, Agree to be accountable for all aspects of the work in ensuring that questions related to the accuracy or integrity of any part of the work are appropriately investigated and resolved.

Daniel Soria Jiménez - Conception of the work, Design of the work, Acquisition of data, Analysis of data, Drafting the work, Revising the work critically for important intellectual content, Final approval of the version to be published, Agree to be accountable for all aspects of the work in ensuring that questions related to the accuracy or integrity of any part of the work are appropriately investigated and resolved.

Mariana L Meyers - Conception of the work, Design of the work, Acquisition of data, Analysis of data, Drafting the work, Revising the work critically for important intellectual content, Final approval of the version to be published, Agree to be accountable for all aspects of the work in ensuring that questions related to the accuracy or integrity of any part of the work are appropriately investigated and resolved.

Vijaya M Vemulakonda - Conception of the work, Design of the work, Acquisition of data, Analysis of data, Drafting the work, Revising the work critically for important intellectual content, Final approval of the version to be published, Agree to be accountable for all aspects of the work in ensuring that questions related to the accuracy or integrity of any part of the work are appropriately investigated and resolved.

Guaranter of Submission

The corresponding author is the guarantor of submission.

Source of Support

None

Consent Statement

Written informed consent was obtained from the patient for publication of this article.

Data Availability

All relevant data are within the paper and its Supporting Information files.

Conflict of Interest

Authors declare no conflict of interest.

Copyright

© 2025 Towela King et al. This article is distributed under the terms of Creative Commons Attribution License which permits unrestricted use, distribution and reproduction in any medium provided the original author(s) and original publisher are properly credited. Please see the copyright policy on the journal website for more information.