Case Report


Ringed with complexity: Insights from a difficult signet ring cell urachal carcinoma case

,  ,  ,  ,  

1 BS, Medical student, Department of Urology, University of Tennessee Health Science Center, Memphis, TN, USA

2 MD, Resident, Department of Urology, University of Tennessee Health Science Center, Memphis, TN, USA

3 MD, Resident, Department of Pathology and Laboratory Medicine, University of Tennessee Health Science Center, Memphis, TN, USA

4 MD, Assistant Professor, Department of Pathology and Laboratory Medicine, University of Tennessee Health Science Center, Memphis, TN, USA

5 MD, Assistant Professor, Department of Urology, University of Tennessee Health Science Center, Memphis, TN, USA

Address correspondence to:

Hannah G Hingtgen

Department of Urology, University of Tennessee Health Science Center, 910 Madison Avenue, Room 409, Memphis, TN 38163,

USA

Message to Corresponding Author


Article ID: 100049Z15HH2025

doi: 10.5348/100049Z15HH2025CR

Access full text article on other devices

Access PDF of article on other devices

How to cite this article

Hingtgen HG, Latham PJ, Sookdeo J, Torgbe K, Saidian A. Ringed with complexity: Insights from a difficult signet ring cell urachal carcinoma case. J Case Rep Images Urol 2025;10(1):1–5.

ABSTRACT


Introduction: Signet ring cell carcinoma is a rare and highly malignant subtype of urachal carcinoma, an already rare type of bladder malignancy.

Case Report: We present a case of a 55-year-old male with mucus-like umbilical discharge and a palpable mass with an indeterminate workup found to have signet ring cell carcinoma after surgical intervention. Two months later, recurrence was suspected, and additional surgical intervention was performed.

Conclusion: This case emphasizes the challenges in diagnosis, importance of early diagnosis and intervention, and the need for a standardized therapeutic regimen.

Keywords: Bladder cancer, Signet ring cell, Urachal carcinoma, Urologic oncology

Introduction


Less than 1% of bladder cancers are urachal carcinomas [1]. 90% of urachal carcinomas are adenocarcinomas, with signet ring cell being a rare and aggressive subtype that comprises 7% of these [1]. Urachal cancers are often asymptomatic until the tumor invades bladder wall, with the most common presenting symptom being hematuria [1],[2]. Resectable urachal adenocarcinomas are typically removed by partial cystectomy with en-bloc resection of the urachal ligament, bladder dome, and umbilicus [2]. However, due to their rarity, treatment of urachal signet ring cell carcinomas varies. This case describes a 55-year-old male with a unique presentation, workup, and treatment of urachal carcinoma that was found to be signet ring cell carcinoma.

Case Report


A 55-year-old male presented to the emergency room in June 2023 with dark tan fluid draining from his umbilicus with an underlying palpable mass. Pelvic computed tomography (CT) scan at presentation showed an 11 centimeter (cm) anterior pelvic mass abutting the bladder, contiguous with the lesion at his umbilicus, as well as diffuse bladder wall thickening (Figure 1A, Figure 1B, Figure 1C). Two days after presentation, interventional radiology (IR) performed a transabdominal CT-guided percutaneous needle core biopsy 4.7 cm deep into the anterior surface of the bladder/pelvic mass. Pathology showed spindle cell tumor with rich inflammatory stroma. Differential diagnosis included pseudosarcomatous myofibroblastic tumor of the genitourinary tract, inflammatory myofibroblastic tumor, IgG-4 related disease, inflammatory pseudotumor, plasma cell neoplasm, and a de-differentiated component of other neoplasm.

Flexible cystoscopy in August 2023 showed multiple lesions, including a greater than 5 cm frondular, polypoid mass encompassing most of the anterior bladder wall and dome. Incomplete transurethral resection of bladder tumor was then performed, and pathology was negative for malignancy. A positron emission tomography (PET) scan was obtained and showed a fluorodeoxyglucose (FDG) avid pelvic mass, diffuse FDG avid lymphadenopathy, and FDG activity within the patient’s axial and appendicular skeleton. Left inguinal lymph node excisional biopsy was performed in September 2023 by general surgery and showed a noncaseating granuloma with no evidence of malignancy. The etiology of his abdominopelvic mass remained unclear but was highly concerning for malignancy. An attempt was made to schedule a colonoscopy, but the patient either refused or could not be contacted.

On October 16th, 2023, he underwent exploratory laparotomy, resection of pelvic mass, appendectomy, bowel resection with colostomy creation and peri-colonic lymph node dissection, partial cystectomy, and complex abdominal closure with ventral mesh with urology and general surgery. The urachal mass was found to be invading the posterior abdominal wall and attached to a 15.5 cm segment of sigmoid colon. The mass appeared to be matted and fistulized to the sigmoid colon. The mass also appeared to be densely adherent to the appendix. The 15.5 cm segment of sigmoid colon was resected, and an end colostomy was made with the ostomy lateral to the rectus sheath (Figure 2A, Figure 2B, Figure 2C, Figure 2D). Pathology from this resection showed poorly differentiated adenocarcinoma with signet ring cell features involving the anterior margins (Figure 3A, Figure 3B, Figure 3C, Figure 3D). All 9 dissected lymph nodes were negative. The appendix was found to have acute-on-chronic serositis and fibrous obliteration by infiltrating malignant cells, including signet ring cells.

Follow-up CT scan in December 2023 showed an enhancing 3 cm lesion of the anterior bladder wall concerning for recurrent malignancy. He initially refused radical cystectomy and desired chemotherapy and radiation; however, radiation oncology determined that he was not a candidate for radiation with curative intent. Finally, he underwent radical cystoprostatectomy, pelvic lymph node dissection, and ileal conduit creation in January 2024. Pathology showed invasive urachal adenocarcinoma with glandular differentiation, negative surgical margins, and negative bilateral pelvic lymph nodes (Figure 4A and Figure 4B). The patient became intermittently febrile while inpatient one week post-operatively and had blood cultures positive for Enterococcus. He was started on intravenous antibiotics, but after 1–2 days of treatment, he eloped from the hospital without notifying staff. He followed up in clinic 10 days later and felt well without any major complaints, and informed consent was obtained for this report.

In May 2024, repeat CT scan showed enlargement of bilateral pelvic lymph nodes and bilateral inguinal lymph nodes with prominent retroperitoneal lymph nodes, concerning for worsening metastasis. A 5 mm sclerotic lesion on the 2nd rib was found and could not be excluded as metastasis. His case was presented at multidisciplinary tumor board to determine if he needed additional lymph node biopsies and if he was a candidate for chemotherapy and radiation. It was unclear if pelvic lymph nodes were malignant, and the inguinal nodes appeared to be benign. His lymph nodes enlarged only slightly compared to imaging one year ago. If his pelvic nodes were biopsy proven for relapse, he would be a candidate for concurrent chemotherapy and radiation. Interventional radiology was consulted to assess feasibility of pelvic node biopsy and determined that the nodes were inaccessible for biopsy. Without biopsy proven relapse, the patient was placed on surveillance and planned to be reimaged in three months to monitor for growth. However, the patient followed up in clinic in September 2024 but did not present for surveillance scans prior and has not been compliant with imaging follow-up at this point.

Figure 1: (A–C) Coronal view of computed tomography (CT) scan showing an 11 centimeter (cm) anterior pelvic mass abutting the bladder as well as diffuse bladder wall thickening from June 2023 (A). Axial views of CT scan revealing 11 cm pelvic mass that is contiguous with the umbilicus and abutting the bladder with diffuse bladder wall thickening (B and C).

Share Image:

Figure 2: (A–D) Resection specimen consisting of anterior bladder wall, colon, and mass. Inferior view of resection specimen demonstrated a well circumscribed solid lesion measuring 18.0 × 14.0 × 11.5 cm surrounding the median umbilical ligament, protruding into the bladder wall (A). Superior view of the resection specimen shows the interface between the mass and resected colon (B). Opening the resected colon revealed the mass invading into the colonic lumen, leading to ulceration and partial obstruction (C). Sectioning through the primary mass revealed predominantly necrotic and fibrotic components with scattered areas of viable tumor (D).

Share Image:

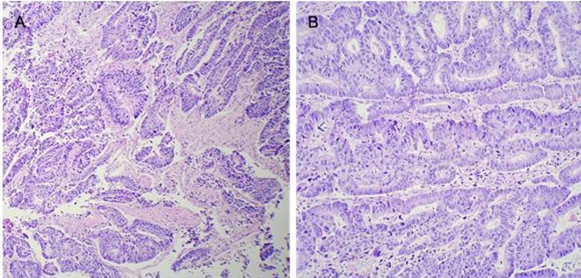
Figure 3: (A–D) Hematoxylin and eosin stains of sections from viable areas of the resected mass demonstrate a heterogeneous, high-grade tumor with primarily enteric histomorphology consisting of poorly differentiated, cribriform glands with intraluminal necrosis (100×) (A). Also present were focal areas of single signet-ring cells (arrows) in a background of inflammatory cells (200×) (B). Immunohistochemistry revealed membranous and cytoplasmic staining of tumor cells with beta-catenin (100×) (C), and negative GATA-3 stain (100×) (D), supporting the diagnosis of adenocarcinoma of urachal origin.

Share Image:

Figure 4: (A and B) Hematoxylin and eosin stains of the completion cystectomy demonstrate a transmural neoplasm composed of cribriform glands with intraluminal necrosis (100×) (A). The cells have large, vesicular nuclei with irregular chromatin distribution and prominent nucleoli. Numerous apoptotic bodies and mitotic figures can also be seen (200×) (B).

Share Image:

Discussion


Urachal carcinoma is rare due to the urachus commonly involuting in adults. The urachus is derived from the allantois and connects the dome of the urinary bladder to the umbilicus. After birth, the urachus involutes into a fibrous stock that joins with obliterated umbilical arteries to form the median umbilical ligament. In one-third of adults, the urachus is still present and can be located anywhere on the bladder midline, but it is most commonly at the bladder dome [3]. It is comprised of urothelium or occasionally cuboidal epithelium, lamina propria, and muscularis propria. Metaplastic changes commonly occur in the urothelium causing urachal carcinomas [3]. The signet ring cell subtype is exceedingly rare, making up an estimated 0.12–0.60% of all bladder malignancies [4].

Signet ring cell carcinoma typically presents at an advanced stage due to its lack of symptoms in earlier stages. The rapid submucosal growth pattern is thought to explain this, with symptoms not presenting until the tumor invades the mucosa of the bladder [5]. The most common symptom is painless hematuria. Approximately 65% of patients have this presentation [4],[5]. Our patient denied hematuria. Other symptoms include irritative voiding symptoms, renal failure presenting with oliguria, abdominal pain, and a suprapubic mass [5],[6]. Mucus-like discharge coming from the umbilicus as seen in our patient has been occasionally reported for urachal adenocarcinomas [2].

The diagnosis of urachal adenocarcinoma requires clinicopathological correlation. There are four distinct histological subtypes: mucinous/colloid, enteric, signet ring cell, and mixed. Urachal adenocarcinoma shares histomorphologic features with other regional malignancies such as primary bladder adenocarcinoma, prostatic acinar, and colorectal adenocarcinomas, making definitive tissue diagnosis without clinical and radiologic correlation challenging. Tissue diagnosis also proved to be challenging in this case as the IR biopsy showed spindle cell tumor with rich inflammatory stroma compared to histopathology after radical cystectomy showing poorly differentiated adenocarcinoma with signet ring cell. While these are descriptive diagnoses of the same histologic lesion, the needle biopsy performed by IR likely only sampled stroma of the tumor and missed the glandular elements. This explains the initial diagnosis of spindle cell tumor with rich inflammatory stroma. Immunohistochemistry may help differentiate between subtypes in some cases [7]. This was significant in our case, as the primary mass involved the bladder and colon at initial presentation. The malignant cells in our case demonstrated membranous and cytoplasmic staining with beta catenin, helping to differentiate from a primary colonic malignancy. The cells were negative for GATA-3, ruling out urothelial carcinoma, and positive for alpha methylacyl CoA racemase (AMACR) (Figure 2AFigure 2B, Figure 2C, Figure 2D). While most cases of urachal adenocarcinomas are negative for AMACR, studies have demonstrated that a small subset (16%) may demonstrate positivity [7]. Specific signet ring cell carcinoma subtypes may also be carcinoembryonic antigen (CEA) and periodic acid-Schiff positive [5].

There is no standard treatment regimen for urachal signet ring cell carcinoma due to its low incidence. Typical treatment for resectable urachal adenocarcinomas is partial cystectomy with en-bloc resection of the urachal ligament, bladder dome, and umbilicus. Removal of the umbilicus is associated with decreased rates of recurrence [8]. Liu et al. found that dissecting 4 or more regional lymph nodes significantly improved 3- and 5-year cancer-specific survival if all nodes were found to be negative for metastasis. They identified that surgical intervention and lymph node dissection are protective prognostic factors for survival [9]. However, cystectomy at advanced stages does not always improve prognosis due to the aggressive nature of signet ring cell carcinoma [5].

Chemotherapy and radiation have been used for treatment, but their efficacy has not been proven [4],[8]. Five-fluorouracil and cisplatin are commonly used agents for neoadjuvant and adjuvant chemotherapy [4]. There are reports of successful radiation treatment in addition to chemotherapy, but there is no standard treatment regimen [8],[9].

Although difficult, early diagnosis is important for signet ring cell urachal carcinoma. This can be accomplished through a high index of suspicion and low threshold for obtaining diagnostic imaging, cystoscopy, and biopsy considering suspicious clinical findings. Suspicion should be maintained despite negative workup with patients followed at close intervals. Carcinoembryonic antigen is a serum marker that is commonly elevated in signet ring cell urachal carcinoma and could potentially be used to support diagnostic workup and monitor disease [5]. Carcinoembryonic antigen levels have been theorized to correlate to malignant potential and vascular invasion but have not been proven [5]. More research needs to be done to determine the best regimen to monitor and treat this rare cancer. This case emphasizes the importance of maintaining a high index of suspicion despite inconclusive or negative biopsies.

Conclusion


Signet cell urachal carcinoma is rare and asymptomatic in early stages, making it difficult to diagnose. We present a case that demonstrates the difficulty of diagnosis with nonspecific symptoms and an indeterminate initial workup. Cystectomy and negative lymph nodes, with 4 or more dissected, have been shown to be protective prognostic factors, and removal of the umbilicus is associated with decreased recurrence. Chemotherapy and radiation therapy have been used on a case-by-case basis, but their efficacy has not been proven. More research should be done to develop a treatment protocol to improve outcomes for this highly malignant carcinoma.

REFERENCES


1.

Wang Q, Chen X, Zhang J, Luo Y, Jiang K. Primary urachal signet ring cell carcinoma: A case report. Front Oncol 2022;12:1034245. [CrossRef] [Pubmed]   Back to citation no. 1  

2.

Bao B, Hatem M, Wong JK. Urachal adenocarcinoma: A rare case report. Radiol Case Rep 2016;12(1):65–9. [CrossRef] [Pubmed]   Back to citation no. 1  

3.

Dhillon J, Liang Y, Kamat AM, et al. Urachal carcinoma: A pathologic and clinical study of 46 cases. Hum Pathol 2015;46(12):1808–14. [CrossRef] [Pubmed]   Back to citation no. 1  

4.

Benerjee N, Parmar K, Vaiphei K. Primary signet-ring cell carcinoma of the urinary bladder. Autops Case Rep 2021;11:e2021264. [CrossRef] [Pubmed]   Back to citation no. 1  

5.

Yamamoto S, Ito T, Akiyama A, et al. Primary signet-ring cell carcinoma of the urinary bladder inducing renal failure. Int J Urol 2001;8(4):190–3. [CrossRef] [Pubmed]   Back to citation no. 1  

6.

Verma A, Tomar V. Signet ring cell carcinoma of urachal origin presenting as irritative lower urinary tract symptoms and pain abdomen: A rare case report. J Clin Diagn Res 2016;10(7):PD12–3. [CrossRef] [Pubmed]   Back to citation no. 1  

7.

Reis H, Krafft U, Niedworok C, et al. Biomarkers in urachal cancer and adenocarcinomas in the bladder: A comprehensive review supplemented by own data. Dis Markers 2018;2018:7308168. [CrossRef] [Pubmed]   Back to citation no. 1  

8.

Siefker-Radtke A. Urachal adenocarcinoma: A clinician’s guide for treatment. Semin Oncol 2012;39(5):619–24. [CrossRef] [Pubmed]   Back to citation no. 1  

9.

Liu L, Wang Q, Yuan H. Clinicopathological characteristics and prognostic factors of primary bladder signet ring cell carcinoma. J Healthc Eng 2022;2022:3224616. [CrossRef] [Pubmed]   Back to citation no. 1  

SUPPORTING INFORMATION


Author Contributions

Hannah G Hingtgen - Conception of the work, Design of the work, Acquisition of data, Revising the work critically for important intellectual content, Final approval of the version to be published, Agree to be accountable for all aspects of the work in ensuring that questions related to the accuracy or integrity of any part of the work are appropriately investigated and resolved.

Phillip Jimmy Latham - Conception of the work, Design of the work, Acquisition of data, Revising the work critically for important intellectual content, Final approval of the version to be published, Agree to be accountable for all aspects of the work in ensuring that questions related to the accuracy or integrity of any part of the work are appropriately investigated and resolved.

Jonathan Sookdeo - Conception of the work, Design of the work, Acquisition of data, Revising the work critically for important intellectual content, Final approval of the version to be published, Agree to be accountable for all aspects of the work in ensuring that questions related to the accuracy or integrity of any part of the work are appropriately investigated and resolved.

Kwame Torgbe - Conception of the work, Design of the work, Acquisition of data, Revising the work critically for important intellectual content, Final approval of the version to be published, Agree to be accountable for all aspects of the work in ensuring that questions related to the accuracy or integrity of any part of the work are appropriately investigated and resolved.

Ava Saidian - Conception of the work, Design of the work, Acquisition of data, Revising the work critically for important intellectual content, Final approval of the version to be published, Agree to be accountable for all aspects of the work in ensuring that questions related to the accuracy or integrity of any part of the work are appropriately investigated and resolved.

Guaranter of Submission

The corresponding author is the guarantor of submission.

Source of Support

None

Consent Statement

Written informed consent was obtained from the patient for publication of this article.

Data Availability

All relevant data are within the paper and its Supporting Information files.

Conflict of Interest

Authors declare no conflict of interest.

Copyright

© 2025 Hannah G Hingtgen et al. This article is distributed under the terms of Creative Commons Attribution License which permits unrestricted use, distribution and reproduction in any medium provided the original author(s) and original publisher are properly credited. Please see the copyright policy on the journal website for more information.