Case Report


Which came first? An association between Fournier’s gangrene and a presentation of priapism

,  ,  

1 DO, Detroit Medical Center Urology Residency, Harper Professional Building, 4160 John R St., Suite 1017, Detroit, MI 48201, USA

2 DO, MA, Detroit Medical Center Urology Residency, Harper Professional Building, 4160 John R St., Suite 1017, Detroit, MI 48201, USA

3 MD, Detroit Medical Center Urology Residency, Harper Professional Building, 4160 John R St., Suite 1017, Detroit, MI 48201, USA; Michigan Institute of Urology, 44200 Woodward Ave, Suite 207, Pontiac, MI 48341, USA

Address correspondence to:

Jordan Sarver

Detroit Medical Center Urology Residency, Harper Professional Building, 4160 John R St., Suite 1017, Detroit, MI 48201,

USA

Message to Corresponding Author


Article ID: 100041Z15JS2024

doi: 10.5348/100041Z15JS2024CR

Access full text article on other devices

Access PDF of article on other devices

How to cite this article

Sarver J, Farley R, Tapper A. Which came first? An association between Fournier’s gangrene and a presentation of priapism. J Case Rep Images Urol 2024;9(1):8–11.

ABSTRACT


Introduction: Fournier’s gangrene and priapism are two urological emergencies that have a similar goal of prompt surgical evaluation.

Case Report: A 62-year-old male was presented for perineal pain along with a rigid phallus. He was found to have a necrotizing infection of his suprapubic region, scrotum, phallus, and corporal bodies associated with a presentation of priapism.

Conclusion: Prior case studies have reported isolated Fournier’s gangrene to the penile shaft, corpora of the penis, and even more unique in the penile corpora with an associated diagnosis of priapism. Here we present one of the only known cases of Fournier’s gangrene associated with a presentation of priapism.

Keywords: Fournier’s gangrene, Genital infections, Priapism, Reconstruction

Introduction


Fournier’s gangrene is a rare perineal and abdominal necrotizing infection affecting approximately 1.6 in 100,000 males [1]. This infection carries a mortality rate upward of 40%, making immediate surgical debridement the standard initial treatment [1]. Urogenital sources of Fournier’s gangrene may include urethral strictures, chronic urinary tract infections, neurogenic bladder, recent surgery, or epidydimal infections [2]. Initial presentation may consist of scrotal swelling, pain, purulent wound discharge, fever, or crepitus [2]. Imaging usually shows soft tissue air in the scrotum, perineum, or overlying areas [2]. Although not often discovered together, an additional urological emergency is priapism, which is defined as a painful erection lasting longer than 4 hours in the absence of sexual stimulation [3]. Priapism is usually due to idiopathic (alcohol and drug abuse) causes, penile injections, or sickle cell disease [3]. Emergent treatment of priapism is recommended and consists of corporal aspiration, injections, surgical management through shunt creation, and potentially penile prosthetic implantation [3]. These two urological emergencies, while often not studied together, have a similar goal of prompt surgical evaluation.

Although rare, prior case studies have reported isolated Fournier’s gangrene to the penile shaft, and even more rare, isolated to the corpora of the penis [4]. Even more unique is Fournier’s gangrene presenting in the penile corpora with an associated diagnosis of priapism. There is currently one case report in the literature discussing penile corporal Fournier’s gangrene associated with priapism [5]. This case ultimately lead to a penectomy due to the extent of necrotic tissue found during surgery [5].

Here we present one of the only known cases of Fournier’s gangrene associated with a presentation of priapism.

Case Report


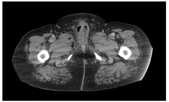
The patient was a 62-year-old male with a history of prostate cancer (s/p RALP with adjuvant X-ray therapy in 2018) and radiation cystitis who presented to the emergency room for three weeks of perineal pain. He did not have a history of diabetes. He reported warmth, redness, and tenderness in the perineum. He also reported that his phallus had been rigid for the past three days. On physical exam there was warmth, erythema, and induration involving the mons pubis, phallus, and scrotum. The phallus was rigid, and the penile glans was pail and dusky. His presenting labs showed a white blood cell (WBC) count of 29.0 and hyponatremia with a sodium of 122. He underwent a computed tomography (CT) scan that showed, “circumferential wall thickening and mucosal hyperenhancement of the urinary bladder, along with several small locules of nondependent gas. There is edema and extensive gas within the penile soft tissues and musculature...” (Figure 1 and Figure 2). He underwent immediate excisional debridement of Fournier’s gangrene.

During initial cystoscope, the patient was noted to have a bulbar urethral stricture. An area of induration over the suprapubic area was palpated and a 5 cm incision was made transversely over the midline. Dissection was carried down until the penile corpora were identified, initially appearing healthy. Further dissection proximally revealed necrosis of the lateral aspect of the proximal right corpora. A right corporotomy was then made by using Metzenbaum scissors. We then passed a Frazier suction through the right corpora and made a small incision in the glans. A 1/4 inch Penrose drain was then passed through this incision to allow for adequate drainage of the corpora (Figure 3). His intraoperative wound cultures grew both gram positive cocci and gram negative bacilli, consistent with a polymicrobial infection of Fournier’s gangrene.

On hospital day 2 the patient was taken back to the operating room. Additional excision and irrigation of the suprapubic site was completed (Figure 4). We then made an incision in the left corporal body with immediate return of dark old blood. The tissue within the corpora did not appear healthy and was dusky. Rongeur was used in both corporal bodies to remove as much of the tissue as possible. The drain in the right corporal body was left in place. An additional 1/4 inch Penrose drain was then brought through the left corporal body out of the glans in a similar fashion to the right.

The patient was ultimately discharged with home health care (Figure 5). Currently the patient is scheduled for a laparoscopic cystectomy with ileal conduit creation and urinary diversion. Extensive decision regarding long-term options was completed and the patient ultimately wished for complete diversion to avoid any additional surgeries to his genital and pubic regions. Due to the multiple infections and repeated visits to the operating room for tissue debridements, the patient elected for permanent surgical urinary diversion with cystectomy and ileal conduit creation to avoid future urinary contamination to his previous infection sites. Prior to plans for complete urinary diversion with an ileal conduit, the patient was managed with bilateral nephrostomy tubes and a urethral catheter. The patient preferred urinary diversion with a cystectomy and ileal conduit compared to chronic indwelling urethral catheters and nephrostomy tubes.

Figure 1: Initial CT abdomen/pelvis that showed evidence of gas in the penile shaft.

Share Image:

Figure 2: Initial CT abdomen/pelvis that showed evidence of gas in the scrotum concerning for Fournier’s gangrene.

Share Image:

Figure 3: Post-operative day #0 after debridement of necrotic tissue involving the suprapubic region, corporotomy of necrotic penile corpora, and placement of a Penrose drain and Foley catheter.

Share Image:

Figure 4: Suprapubic incision site after additional irrigation and debridement after second look procedure.

Share Image:

Figure 5: Suprapubic, penile shaft, and penile corpora wound on day of discharge from patient’s initial hospital admission.

Share Image:

Discussion


This study is one of the only known cases of Fournier’s gangrene involving the penile corpora and associated with a presentation of priapism. Fournier’s gangrene is a urological surgical emergency and is caused by an infection in the genital and perineal region. Risk factors for this infection in the patient presented could have been explained by his urethral stricture disease, noted on the initial cystoscope. The infection usually involves the soft tissue in the scrotum, perineum, or overlying areas; however, this case highlighted an additional unique finding with the involvement of the penile corpora and association with priapism. Both necrotizing infections and prolonged erections with priapism share a similar emergency treatment protocol, as highlighted by the immediate surgical intervention in this case. Overall, for this case the authors propose a few ideas on the causes of this unique patient presentation. We do know the patient presented with perineal pain as was found to have both diagnoses of priapism and Fournier’s gangrene. One theory is that the patient developed a prolong erection with a subsequent infection of the corpora that spread to involve additional genitourinary structures. The other possibility is the patient had a soft tissue infection on the scrotum, perineum, and suprapubic region which then stressed the corpora causing a prolonged erection. The last theory is they presented together completely unrelated.

We present this case due to the unique nature of the patient presenting with Fournier’s gangrene in the penile corpora with a diagnosis of a three-day history of priapism. Isolated Fournier’s gangrene to the penis is a rare presentation with only a few cases reported. Additional rare case reports exist for involvement of the infection in the penile corpora [4]. In the literature, there is currently one case report discussing penile corporal Fournier’s gangrene associated with priapism, ultimately leading to penectomy [5]. This presentation of the case report here, although rare, should be treated similar to known literature with emergent debridement of tissue, drainage of corpora, and treatment of infection. More research is needed to investigate the association between genital infections, such as Fournier’s gangrene and priapism.

Conclusion


Fournier’s gangrene and ischemic priapism are both urological emergencies requiring prompt diagnosis and surgical intervention. Our patient in this study presented with a prolonged erection and was found to have a gangrenous infection of the pubis, penile shaft, corpora, and scrotum along with priapism. Isolated gangrenous infections to the penile shaft and penile corpora are rare, with only one other case report finding this infection associated with priapism. More research is needed to investigate the association between genital infections, such as Fournier’s gangrene and priapism.

REFERENCES


1.

Lewis GD, Majeed M, Olang CA, et al. Fournier’s gangrene diagnosis and treatment: A systematic review. Cureus 2021;13(10):e18948. [CrossRef] [Pubmed]   Back to citation no. 1  

2.

Chennamsetty A, Khourdaji I, Burks F, Killinger KA. Contemporary diagnosis and management of Fournier’s gangrene. Ther Adv Urol 2015;7(4):203–15. [CrossRef] [Pubmed]   Back to citation no. 1  

3.

Shigehara K, Namiki M. Clinical management of priapism: A review. World J Mens Health 2016;34(1):1–8. [CrossRef] [Pubmed]   Back to citation no. 1  

4.

Moussa M, Abou Chakra M. Isolated penile Fournier’s gangrene: A case report and literature review. Int J Surg Case Rep 2019;62:65–8. [CrossRef] [Pubmed]   Back to citation no. 1  

5.

Gumber AO, Khafagy R, Morgan R, Robertson AS, Hawkyard SJ. Case report of penile corporal Fournier’s gangrene. Journal of Clinical Urology 2013;6(5):324–6. [CrossRef]   Back to citation no. 1  

SUPPORTING INFORMATION


Author Contributions

Jordan Sarver - Conception of the work, Design of the work, Drafting the work, Revising the work critically for important intellectual content, Final approval of the version to be published, Agree to be accountable for all aspects of the work in ensuring that questions related to the accuracy or integrity of any part of the work are appropriately investigated and resolved.

Remington Farley - Conception of the work, Design of the work, Drafting the work, Revising the work critically for important intellectual content, Final approval of the version to be published, Agree to be accountable for all aspects of the work in ensuring that questions related to the accuracy or integrity of any part of the work are appropriately investigated and resolved.

Alexander Tapper - Conception of the work, Design of the work, Drafting the work, Revising the work critically for important intellectual content, Final approval of the version to be published, Agree to be accountable for all aspects of the work in ensuring that questions related to the accuracy or integrity of any part of the work are appropriately investigated and resolved.

Guaranter of Submission

The corresponding author is the guarantor of submission.

Source of Support

None

Consent Statement

Written informed consent was obtained from the patient for publication of this article.

Data Availability

All relevant data are within the paper and its Supporting Information files.

Conflict of Interest

Authors declare no conflict of interest.

Copyright

© 2024 Jordan Sarver et al. This article is distributed under the terms of Creative Commons Attribution License which permits unrestricted use, distribution and reproduction in any medium provided the original author(s) and original publisher are properly credited. Please see the copyright policy on the journal website for more information.