Case Report


A case of blunt abdominal trauma resulting in significant bladder injury (AAST grade IV)

1 Clinical Fellow, Urology, The Mid and South Essex NHS Foundation Trust, Southend-on-Sea, Essex, United Kingdom

Address correspondence to:

Divya Bheenick

47 Chartwell Plaza, 9 Southchurch Road, Southend-on-Sea, Essex SS1 2BQ,

United Kingdom

Message to Corresponding Author


Article ID: 100027Z15DB2022

doi: 10.5348/100027Z15DB2022CR

Access full text article on other devices

Access PDF of article on other devices

How to cite this article

Bheenick D. A case of blunt abdominal trauma resulting in significant bladder injury (AAST grade IV). J Case Rep Images Urol 2022;7(2):11–16.

ABSTRACT


Introduction: Bladder injuries are uncommon and its diagnosis is often missed. However, in patients presenting with blunt abdominal trauma, bladder, and other lower urinary tract injuries must be ruled out using adequate investigations.

Case Report: A 33-year-old male presented to the Emergency Department 24 hours after a fall, complaining of lower abdominal pain and inability to void. Examination revealed a mildly distended abdomen with no signs of peritonism. A random bladder scan showed a volume of 583 mL. Basic investigations showed the patient to be in acute kidney injury (AKI) stage III with a creatinine of 350 mmol/L. Clinical findings were suggestive of a bladder injury. However, due to the rarity of such cases, clinicians reviewing the patient did not think of a bladder injury as one of the differential diagnoses. Instead of also requesting for a computed tomography (CT) cystography, only a trauma CT abdomen and pelvis with contrast was requested which demonstrated an intraperitoneal bladder injury. The patient was taken to theater for an emergency laparotomy and repair of a 4 cm bladder laceration. According to the American Association for the Surgery of Trauma (AAST) classification, the patient had a Grade IV bladder injury. A cystogram performed 4 weeks after the surgery showed no urine leak and the urethral catheter was removed. Fortunately, no harm was brought to the patient.

Conclusion: Intraperitoneal bladder injuries, if missed, can be associated with serious morbidities and even increase the risk of mortality.

Keywords: Intraperitoneal bladder injury, Surgery, Trauma

Introduction


Isolated traumatic intraperitoneal bladder rupture is a rare presentation. This case illustrates a good example of how a young and healthy patient sustained a bladder injury after a fall. Understanding the mechanism of injury and correlating the clinical findings to it is important especially when determining the differential diagnosis. It guides clinicians in requesting appropriate investigations. Although the patient did not present with the classical picture of hematuria, he had signs and symptoms indicative of a bladder injury. Fortunately, the bladder rupture was apparent on the trauma CT abdomen and pelvis with contrast. Otherwise, intraperitoneal bladder injuries, if missed, can cause serious morbidity and even increase the risk of mortality. Computed tomography urography is the most specific and sensitive test for detecting bladder injury [1]. Furthermore, there is growing evidence that surgical repair is still the preferred method of treating traumatic intraperitoneal bladder rupture. Patients have a quicker recovery and therefore a shorter hospital stay [1],[2].

Case Report


A 33-year-old male presented to the Accident and Emergency (A&E) department, 24 hours after a mechanical fall from the first-floor window of his house. He landed on his abdomen and onto a car. At the time of injury, he reported only mild abdominal discomfort. There was no head injury, loss of consciousness or any associated neurological symptoms.

He only presented to the A&E department when he started having increasing abdominal discomfort and realized that he was unable to pass urine.

Further history taking revealed that the patient had taken about 4 pints of beer before the incident. He was initially examined in the A&E department using the Advanced Trauma Life Support protocol and was cleared from any immediate life-threatening injuries. His vital signs were stable. The examination did not show any obvious abdominal, genital, or perineal bruising. His abdomen was soft but mildly distended with tenderness in the suprapubic region. There were no obvious signs of peritonism. No blood was found at the external urethral meatus. He had no neurological deficit. On digital rectal examination, peri-anal sensation and a good anal tone were present. The prostate was easily felt, it was of a normal size and non-tender. No obvious rectal injury was noted.

As he was unable to void, a bladder scan was performed in the A&E department which showed 583 mL indicating the patient to be in possible acute urinary retention.

The hemoglobin level was 161 g/L indicating no obvious acute blood loss. A white blood cell count of 9.2×109/L and a lactate level of 1.0 mmpl/L from an arterial blood gas did not point toward a septic picture. However, the urea and creatinine level were raised at 9.2 and 350 mmol/L respectively, indicating a stage III acute kidney injury (AKI).

Differential diagnosis of a blunt abdominal trauma can be quite broad. However, when considering the clinical findings of suprapubic tenderness, acute urinary retention and stage III AKI, lower urinary tract injuries with or without pelvic fractures would be the main differentials. Bladder or urethral injuries must be ruled out in patients unable to void.

Other causes of acute urinary retention in a young healthy male patient that is not related to an abdominal trauma would be any inflammatory or infective conditions, such as urinary tract infection, cystitis, urethritis, or even prostatitis.

Given the nature of the presentation, physical examination and blood profile, an urgent trauma CT abdomen and pelvis with contrast was arranged to rule out any intra-abdominal organ injury.

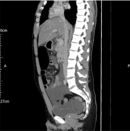
The CT scan showed a defect at the dome of the urinary bladder measuring approximately 1.5 cm in diameter. A large amount of free fluid in the abdomen and pelvis was present, likely due to, intraperitoneal rupture of the urinary bladder with urine extravasation (Figure 1 and Figure 2).

Initial management of the patient included supportive therapy with intravenous fluids, antiemetics, and analgesia. He was kept nil by mouth overnight. The patient was catheterized with a 14 French silicon catheter under strict aseptic condition by the A&E nurses. No obvious hematuria was present. Given the high risk of urinary sepsis secondary to intraperitoneal bladder rupture and urine extravasation, intravenous antibiotics, namely, co-amoxiclav was initiated.

After the on-call urology consultant assessed the patient and reviewed the CT scan findings, an urgent open laparotomy and repair of bladder rupture was planned.

Intraoperative findings included a large volume of intraperitoneal urinoma with minimal blood staining. Evacuation of the urinoma revealed inflamed but viable small bowels and an approximately 4 cm laceration in the dome of the bladder (Figure 3 and Figure 4). Inspection of the bladder internally via the defect was generally normal. The laceration was repaired with a double layer closure with vicryl 2.0. A leak test was performed with 420 mL of normal saline injected through the urethral catheter after the repair and no further extravasation was noted. A small amount of inflammatory matrix was noted in the intra-peritoneal cavity which was washed out with 2 liters of warm normal saline. The abdomen was then closed in a single layer with two loops PDS. A Robinson’s drain was placed in the pelvis. The 14 French urethral catheter was replaced by an 18 French one.

The patient made a steady recovery after the intervention. On post-operative day 3 he was discharged home with analgesia and laxatives. He was advised to avoid any strenuous activity for the next 8–12 weeks. A cystography was planned between 7–10 days after surgery and if the investigation showed no further urine leak, he would have a trial without catheter (TWOC).

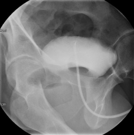
Unfortunately, due to a long waiting list for radiological procedures, the patient had a cystography a month later. No evidence of urinary leak was demonstrated (Figure 5 and Figure 6). The urethral catheter was eventually removed and he was able to pass urine adequately. A post-void bladder scan showed only 75 mL.

Figure 1: Coronal section of CT scan abdomen and pelvis showing an intraperitoneal bladder rupture.

Share Image:

Figure 2: Sagittal section of CT scan abdomen and pelvis showing an intraperitoneal bladder rupture.

Share Image:

Figure 3: Intra-operative finding of an intraperitoneal bladder rupture at the dome.

Share Image:

Figure 4: Inflated catheter balloon with 10 mL of water passing easily through intraperitoneal bladder rupture.

Share Image:

Figure 5: Cystogram demonstrating no urinary leak (Anterior view).

Share Image:

Figure 6: Cystogram demonstrating no urinary leak (Lateral view).

Share Image:

Discussion


Traumatic bladder injuries are uncommon and occur only in up to 10% of abdominal trauma [3]. On the other hand, blunt abdominal trauma (e.g., from road traffic accident or fall) is the most common cause of bladder injury. However, because bladder injury is commonly associated with pelvic fractures (up to 60–90%) or other intra-abdominal injuries (44–68%) and due to its variability in presentation, an accurate diagnosis is often difficult and delayed [4]. Unfortunately, bladder injuries are associated with significant morbidity and mortality (10–22%) [3].

Although guidelines are present to help guide diagnosis and management of such rare cases, it is important for clinicians to be able to formulate adequate differential diagnosis based on mechanism of injury and clinical presentation of patients. Whenever a blunt abdominal trauma patient is admitted to the hospital, bladder injury and other urinary tract organ injury should be suspected.

Visible hematuria is the most common presenting symptom of bladder injuries. Evidence of both visible and non-visible hematuria in cases associated with pelvic fractures or significant injury severity score should raise a high suspicion for lower urinary tract injury. Further images are required in such cases to rule out bladder rupture. However, should these absolute indications be absent, other symptoms or signs to guide investigation for bladder injury would be: inability to void or low urine output, abdominal tenderness or distension, elevated creatinine or uremia and obvious entry or exit wound in the lower abdomen, peritoneum or buttock indicating penetrating injuries [1]. Elevated urea and creatinine levels as seen in the case presentation is usually secondary to intraperitoneal absorption of urine especially when there is a delayed presentation [5].

European Association of Urology (EAU) recommends investigating suspected bladder rupture with either plain or CT cystography [1]. In trauma cases, CT cystography over plain cystography is recommended for patients undergoing CT evaluation for other blunt trauma-related injuries. Computed tomography cystography has an overall sensitivity and specificity of 95% and 100% respectively for detection of bladder rupture when performed appropriately [6]. Approximately 50 mL of water-soluble contrast is diluted in 500 mL of warmed normal saline, the bladder is filled through a foley catheter with 350–500 mL of normal saline under gravity or until flow stops and images are taken to detect extravasation of contrast [7].

In the past injecting intravenous contrast and clamping the foley catheter for 20 min before performing a conventional trauma CT abdomen and pelvis was the investigation method used to detect bladder injury. However, due to under distension of the bladder, injuries were often missed. Consequently, retrograde cystography has become the mainstay imaging technique used [8],[9].

The patient in the case, presented with urinary retention, abdominal distension and a raised creatinine, features highly suggestive of a bladder rupture. If guideline recommendations were followed, a CT cystography along with the trauma CT abdomen and pelvis should have been requested. Fortunately, the bladder laceration was identified on the trauma CT itself. The anterior location of the rupture and the distended bladder allowed for a higher probability of identifying the injury on the scan. However, there was a discrepancy in the size of the rupture. The CT scan reported only a 1.5 cm laceration while intra-operatively the injury was noted to be larger at 4 cm, hence, the grade IV bladder injury [10].

Furthermore, as noted in the case study, the clinician who initially assessed the patient relied on the CT scan findings to rule out a urethral trauma. However, to ensure the absence of a urethral rupture, a retrograde urethrography is usually the investigation of choice [1]. It must be noted that radiographic signs may still be present on CT scan images when there is a urethral injury [11]. Hence, the importance of adequately documenting the mechanism of injury and clinical findings when requesting investigations, so that the radiologist reporting the findings knows what other subtle radiographic signs to look for in case a diagnosis is not obvious.

Management of a bladder rupture depends on the extent and type of injury. Conservative management, including close monitoring of patients, continuous bladder drainage, and antibiotic prophylaxis is advocated for extraperitoneal ruptures in clinically stable patients [1].

In some iatrogenic cases of small intraperitoneal bladder lacerations such as after transurethral resection of bladder tumor, conservative management can be considered in patients who are not septic [1],[12]. For larger lacerations, continuous urinary drainage with both a urethral catheter and an intraperitoneal drain is recommended [13].

Some case series have been performed to assess the role of conservative management in intraperitoneal bladder ruptures. Robertson-Waters et al., at the Department of Urology in Cambridge, University Hospital NHS Trust Foundation, reported successful management of five cases of intraperitoneal injuries without surgical repair but with urethral catheter drainage only. However, these lacerations were described as small. Furthermore, only two of them sustained a traumatic intraperitoneal bladder injury. It is also noted that these 5 patients had the urethral catheter for an average of 17 days (13–33 days). In two other patients with larger intraperitoneal lacerations that were initially missed, conservative management was prolonged. One patient required a urethral catheter for a longer period (52 days) with no further complications. The second patient who had sustained an iatrogenic injury after a complex pelvic mass removal was having ongoing pelvic collection and was still catheterized while the study was underway [4].

While these case series describe successful non-operative management of some small intraperitoneal bladder ruptures, the majority of the body of evidence, including American Urological Association (AUA) and EAU advocate for repair of intraperitoneal bladder lacerations to prevent complications related to the injury [1],[10]. Free urine in the abdomen and pelvis can result in acute renal failure and sepsis, which may increase the mortality rates to over 20% when not promptly identified [14],[15]. The recovery rate for patients managed with operative repair is also quicker with a shorter hospital stay. Most patients are discharged 3–4 days after the surgery [5],[15].

As in the case study, the patient was diagnosed with an intraperitoneal bladder laceration with urinary extravasation. Although he had a delayed presentation of 24 hours, he did not have signs suggestive of sepsis. He was given adequate supportive therapy while waiting for the intervention which was performed in a timely manner. He was discharged four days after the surgery and had no further complications.

Another point noted in the case was the post-operative follow-up arrangement. European Association of Urology recommends that after a surgical repair of a simple injury in a healthy individual, the urethral catheter can be removed in 5–10 days, without any cystography. Cystography is recommended in complex injuries such as when there is involvement of the trigone or if the patient has risk factors such as malnutrition whereby wound healing is impaired. Therefore, the patient in the case study could have had the urethral catheter removed within 5–10 days after repair without any further cystography [1],[15],[16].

Clinical practice may vary according to resources available or clinicians’ preference. As long as the management plan meets the standard of care and no harm is brought to patients, clinicians will not be criticized for deviating slightly from guidelines.

Conclusion


Bladder injury is a rare presentation and reaching the appropriate clinical diagnosis can be challenging. Clinicians involved in the care of the patient would have had a good learning opportunity. Although bladder injury secondary to blunt trauma is not a common condition, the patient was adequately managed since his arrival to the hospital and he recovered without any complications. Medical guidelines are useful tools to refer to when managing complicated cases. However, it is understandable that the investigations and treatment plan will vary according to the patients’ conditions.

REFERENCES


1.

Kitrey ND, Campos-Juanatey F, Hallscheidt P, Serafetinidis E, Sharma DM, Waterloos M. EAU Guidelines on Urological Trauma. 2022. [Available at: https://d56bochluxqnz.cloudfront.net/documents/full-guideline/EAU-Guidelines-on-Urological-Trauma-2022_2022-03-24-104100_fwda.pdf]   Back to citation no. 1  

2.

Morey AF, Brandes S, Dugi DD 3rd, et al. Urotrauma: AUA guideline. J Urol 2014;192(2):327–35. [CrossRef] [Pubmed]   Back to citation no. 1  

3.

Mahat Y, Leong JY, Chung PH. A contemporary review of adult bladder trauma. J Inj Violence Res 2019;11(2):101–6. [CrossRef] [Pubmed]   Back to citation no. 1  

4.

Robertson-Waters E, Donaldson C, Light A, Lamb B, Thiruchelvam N. Guidance for diagnosis and management of bladder injuries – Is practice up to date? BJU Int 2022;129(1):25–7. [CrossRef] [Pubmed]   Back to citation no. 1  

5.

Simon LV, Sajjad H, Lopez RA, Burns B. Bladder Rupture. 2022 May 23. In: StatPearls. Treasure Island (FL): StatPearls Publishing; 2022. [Pubmed]   Back to citation no. 1  

6.

Deck AJ, Shaves S, Talner L, Porter JR. Current experience with computed tomographic cystography and blunt trauma. World J Surg 2001;25(12):1592–6. [CrossRef] [Pubmed]   Back to citation no. 1  

7.

Lehnert BE, Sadro C, Monroe E, Moshiri M. Lower male genitourinary trauma: A pictorial review. Emerg Radiol 2014;21(1):67–74. [CrossRef] [Pubmed]   Back to citation no. 1  

8.

Haas CA, Brown SL, Spirnak JP. Limitations of routine spiral computerized tomography in the evaluation of bladder trauma. J Urol 1999;162(1):51–2. [CrossRef] [Pubmed]   Back to citation no. 1  

9.

Peng MY, Parisky YR, Cornwell EE 3rd, Radin R, Bragin S. CT cystography versus conventional cystography in evaluation of bladder injury. AJR Am J Roentgenol 1999;173(5):1269–72. [CrossRef] [Pubmed]   Back to citation no. 1  

10.

Moore E, Cogbill T, Malangoni M, Jurkovich G, Champion H. Injury Scoring Scale. The American Association for the Surgery of Trauma. [Available at: https://www.aast.org/resources-detail/injuryscoring-scale#blatter]   Back to citation no. 1  

11.

Ali M, Safriel Y, Sclafani SJA, Schulze R. CT signs of urethral injury. Radiographics 2003;23(4):951–63. [CrossRef] [Pubmed]   Back to citation no. 1  

12.

Craggs B, Michielsen D. Conservative treatment of an intraperitoneal bladder perforation. Cent European J Urol 2011;64(1):47–9. [CrossRef] [Pubmed]   Back to citation no. 1  

13.

Manikandan R, Lynch N, Grills RJ. Percutaneous peritoneal drainage for intraperitoneal bladder perforations during transurethral resection of bladder tumors. J Endourol 2003;17(10):945–7. [CrossRef] [Pubmed]   Back to citation no. 1  

14.

Ridinger HA, Kavitt RT, Green JK. Urinary ascites and renal failure from unrecognized bladder rupture. Am J Med 2012;125(9):e1–2. [CrossRef] [Pubmed]   Back to citation no. 1  

15.

Elkbuli A, Ehrhardt JD, Hai S, McKenney M, Boneva D. Management of blunt intraperitoneal bladder rupture: Case report and literature review. Int J Surg Case Rep 2019;55:160–3. [CrossRef] [Pubmed]   Back to citation no. 1  

16.

Inaba K, Okoye OT, Browder T, et al. Prospective evaluation of the utility of routine postoperative cystogram after traumatic bladder injury. J Trauma Acute Care Surg 2013;75(6):1019–23. [CrossRef] [Pubmed]   Back to citation no. 1  

SUPPORTING INFORMATION


Acknowledgments

Mr T. Chang Urology Consultant

Author Contributions

Divya Bheenick - Conception of the work, Design of the work, Acquisition of data, Drafting the work, Final approval of the version to be published, Agree to be accountable for all aspects of the work in ensuring that questions related to the accuracy or integrity of any part of the work are appropriately investigated and resolved.

Guaranter of Submission

The corresponding author is the guarantor of submission.

Source of Support

None

Consent Statement

Written informed consent was obtained from the patient for publication of this article.

Data Availability

All relevant data are within the paper and its Supporting Information files.

Conflict of Interest

Author declares no conflict of interest.

Copyright

© 2022 Divya Bheenick. This article is distributed under the terms of Creative Commons Attribution License which permits unrestricted use, distribution and reproduction in any medium provided the original author(s) and original publisher are properly credited. Please see the copyright policy on the journal website for more information.