Case Report


Refractory bladder endometriosis: A difficult disease with a different management

,  

1 Senior Resident, Department of Urology, Amrita Institute of Medical Sciences, Kochi, Kerala, India

2 Professor, Department of Urology, Amrita Institute of Medical Sciences, Kochi, Kerala, India

Address correspondence to:

Midhun Mohan

Sakalyam, Vikram Sarabhai Road, Maradu P.O., Kochi 682304, Kerala,

India

Message to Corresponding Author


Article ID: 100024Z15MM2022

doi: 10.5348/100024Z15MM2022CR

Access full text article on other devices

Access PDF of article on other devices

How to cite this article

Mohan M, Thomas A. Refractory bladder endometriosis: A difficult disease with a different management. J Case Rep Images Urol 2022;7:100024Z15MM2022.

ABSTRACT


Introduction: Urinary tract endometriosis is a sporadic disease, and the bladder is the most common site affected, followed by the ureter. First line treatment is usually medical management with hormones. For pervasive and intractable cases of endometriosis, low dose radiation as performed in the present case could be life-saving.

Case Report: A 28-year-old female, known case of primary infertility and endometriosis, presented with cyclical hematuria and dysuria. Cystoscopic evaluation showed a mass in the supratrigonal area, and imaging with MRI showed endometriosis infiltrating the bladder and rectum. Bladder biopsy showed no evidence of malignancy. The disease progressed despite starting medical management with hormone therapy. Since it was refractory to hormone therapy and inoperable, local targeted low dose radiation was explored. Although no similar case was reported in published literature except, radiotherapy to the pelvis was done as a life-saving measure with a dose of 20 Gy in 10 fractions with 15 MV photons delivered to the target, 200 cGy per fraction and 5 fractions a week, in 4 fields [anteroposterior (AP), posteroanterior (PA), left lateral, and right lateral], using 3D conformal radiation therapy (CRT) technique. The patient had an immediate and dramatic response to treatment; a follow-up computed tomography (CT) scan three years later showed complete remission.

Conclusion: Radiotherapy is an effective treatment option that can be tried in medication refractory and surgically inoperable bladder endometriosis.

Keywords: Bladder endometriosis, Gynecological disease, Less invasive treatment, Radiotherapy

Introduction


Endometriosis is a gynecological condition defined by the presence of extrauterine endometrial cells that often proliferate and cause hematoma, dysmenorrhea, dyspareunia, dysuria, and even infertility. It is mainly of three types: (1) ovarian, (2) superficial, and (3) deep infiltrating endometriosis (DIE) [1],[2]. Deep infiltrating endometriosis is the most severe form and includes urinary tract endometriosis (UTE) that commonly involves the bladder followed by the ureter [3]. Bladder endometriosis is a challenging condition and is usually managed with hormones or surgery [transurethral resection (TUR)/partial cystectomy]. Here we provide some insight into the use of low dose radiotherapy to manage refractory bladder endometriosis [4]. This type of endometriosis with such an extensive spread is usually seen only once in a carrier time. In literature, this extensive endometriosis is reported as much less extensive as our case and much less widespread in the urinary bladder. Hence, our decision could be life-saving.

Case Report


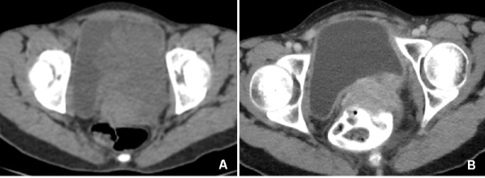
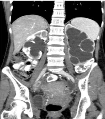
A 28-year-old female presented with massive hematuria with clots. She was seen at the major testing centers and was given massive blood transfusions. Hemoglobin dropped to 4–3.5 g/dL within days of transfusion. She was on treatment for endometriosis and primary infertility. She underwent laparoscopic bilateral oophorectomy and prolonged medical management with danazol, while hematuria continued and became worse. As she presented to us, a papillary lesion was seen projecting through the urethra. Cystoscopic evaluation showed a mass in the supratrigonal area and base. Ultrasound abdomen (USG) and magnetic resonance imaging (MRI) scan showed lesions involving the urinary bladder, uterus and pelvis (Figure 1). Contrast-enhanced computed tomography (CECT) abdomen showed involvement of both ureters in the lower one third, producing massive hydroureteronephrosis (HUN) (Figure 2). However, her creatinine remained stable, and percutaneous nephrostomy (PCN) was deferred. As the exsanguinating hematuria continued despite all therapeutic measures, we noticed a previous report in which a similar case was managed [1] and opted to follow the steps described there, in consultation with the radiation oncology team. With their support, we gave radiotherapy (RT) to the pelvis, as endometrial tissue is very highly radiosensitive. A radiation dose of 20 Gy in 10 fractions with 15 MV photons was delivered to the target. It was delivered as 200 cGy per fraction and 5 fractions a week, in 4 fields (AP, PA, left lateral, and right lateral), and the dose was prescribed to 100% isodense line, treating using 3D CRT technique (Figure 3). The targeted volume for RT was uterine myoma and normal endometrium, along with the lesion infiltrating into the bladder. The response of cessation of bleeding was swift. The HUN also resolved in two weeks. This occurred in the year 2017. The patient was monitored for three years, and now she is completely asymptomatic, except for irregular menstrual periods. The CT scan taken recently showed a normal bladder and upper tracts, and the pelvic endometriosis had disappeared completely (Figure 4).

Figure 1: MRI images showing endometrial tissue occupying the whole bladder and infiltrating it.

Share Image:

Figure 2: Endometrial tissue infiltrating the ureter and causing obstruction, resulting in HUN.

Share Image:

Figure 3: A radiation dose of 20 Gy in 10 fractions with 15 MV photons was delivered to the target, 200 cGy per fraction and 5 fractions a week, in 4 fields (AP, PA, left lateral, and right lateral).

Share Image:

Figure 4: Significant reduction in the endometrial tissue postradiotherapy.

Share Image:

Discussion


Bladder endometriosis (BE) is defined as the presence of endometrial glands and stroma in the detrusor muscle layer of the bladder. Roof and the base are the most common affected sites. Bladder endometriosis is classified as primary if it spontaneously occurs or secondary if related to any iatrogenic surgery endometriosis. It typically presents with lower urinary tract symptoms like dysuria, bladder pain, frequency, and, less frequently, urgency and hematuria [5]. Symptoms worsen during menstruation. Hematuria is infrequent because these lesions rarely infiltrate the mucosal layer of the bladder. Differential diagnoses to consider include overactive bladder, carcinoma of the bladder, interstitial cystitis, and chronic urethral syndrome. Abdominal and per vaginal examination should be performed, with the painful nodule being felt in 53% of cases. Transvaginal sonography (TVS) is the first-line investigation of choice [6]. Magnetic resonance imaging is the second line imaging technique, and BE appears as low signal intensity on T2 weighting and intermediate signal intensity on T1 weighting [7]. Considering the similar accuracy of TVS to MRI and the latter being more costly, it is not routinely recommended in clinical practice. Cystoscopy is recommended when there is suspicion of malignancy.

Treatment for BE depends on several factors like severity of symptoms, the extent of disease, presence of other pelvic lesions, and associated infertility. Medical/hormone therapy is the cornerstone of management, with combined hormonal contraceptives and progestins being the first-line therapy followed by GnRH agonists [8], and aromatase inhibitors being reserved for patient’s refractory to the above therapy. Surgical excision of BE is considered if pain persists despite medical therapy, when the lesion causes ureteral stricture with HUN or when there are contraindications for hormone therapy and those who voluntarily defer it. Various surgical options are available, including TUR, partial cystectomy, laparotomy, and robotic/laparoscopic cystectomy with bladder reconstruction [9]. Combined TUR + partial cystectomy is the preferred approach with the intention of complete clearance and prevention of recurrence. A similar approach was attempted for refractory BE based on case reports on successful treatment of refractory ovarian endometriosis with low dose RT [1],[10]. Radiotherapy is a less invasive treatment modality that can be attempted irrespective of the patient’s health status as a life-saving measure.

Radiotherapy is an effective treatment option that can be tried in medication refractory and surgically inoperable bladder endometriosis. This approach can be life-saving in many instances.

REFERENCES


1.

Nomiya T, Harada M, Sudo H, et al. Radiotherapy for inoperable and refractory endometriosis presenting with massive hemorrhage: A case report. J Med Case Rep 2012;6:308. [CrossRef] [Pubmed]   Back to citation no. 1  

2.

Koninckx PR, Ussia A, Adamyan L, Wattiez A, Donnez J. Deep endometriosis: Definition, diagnosis, and treatment. Fertil Steril 2012;98(3):564–71. [CrossRef] [Pubmed]   Back to citation no. 1  

3.

Gabriel B, Nassif J, Trompoukis P, Barata S, Wattiez A. Prevalence and management of urinary tract endometriosis: A clinical case series. Urology 2011;78(6):1269–74. [CrossRef] [Pubmed]   Back to citation no. 1  

4.

Thomas WW Jr, Hughes LL, Rock J. Palliation of recurrent endometriosis with radiotherapeutic ablation of ovarian remnants. Fertil Steril 1997;68(5):938–40. [CrossRef] [Pubmed]   Back to citation no. 1  

5.

Somigliana E, Vercellini P, Gattei U, Chopin N, Chiodo I, Chapron C. Bladder endometriosis: Getting closer and closer to the unifying metastatic hypothesis. Fertil Steril 2007;87(6):1287–90. [CrossRef] [Pubmed]   Back to citation no. 1  

6.

Thonnon C, Philip CA, Fassi-Fehri H, et al. Three-dimensional ultrasound in the management of bladder endometriosis. J Minim Invasive Gynecol 2015;22(3):403–9. [CrossRef] [Pubmed]   Back to citation no. 1  

7.

Mallampati GK, Siegelman ES. MR imaging of the bladder. Magn Reson Imaging Clin N Am 2004;12(3):545–55. [CrossRef] [Pubmed]   Back to citation no. 1  

8.

Vercellini P, Buggio L, Berlanda N, Barbara G, Somigliana E, Bosari S. Estrogen-progestins and progestins for the management of endometriosis. Fertil Steril 2016;106(7):1552–71.e2. [CrossRef] [Pubmed]   Back to citation no. 1  

9.

Nezhat CR, Nezhat F, Admon D, Seidman D, Nezhat CH. Laparoscopic management of genitourinary endometriosis. J Am Assoc Gynecol Laparosc 1994;1(4, Part 2):S25. [CrossRef] [Pubmed]   Back to citation no. 1  

10.

Kim KS, Moon WS, Song HW, Kim JH, Cho SN. A case of persistent endometriosis after total hysterectomy with both salpingo-oophorectomy managed by radiation therapy. Arch Gynecol Obstet 2001;265(4):225–7. [CrossRef] [Pubmed]   Back to citation no. 1  

SUPPORTING INFORMATION


Author Contributions

Midhun Mohan - Conception of the work, Design of the work, Acquisition of data, Analysis of data, Drafting the work, Final approval of the version to be published, Agree to be accountable for all aspects of the work in ensuring that questions related to the accuracy or integrity of any part of the work are appropriately investigated and resolved.

Appu Thomas - Revising the work critically for important intellectual content, Final approval of the version to be published, Agree to be accountable for all aspects of the work in ensuring that questions related to the accuracy or integrity of any part of the work are appropriately investigated and resolved.

Guaranter of Submission

The corresponding author is the guarantor of submission.

Source of Support

None

Consent Statement

Written informed consent was obtained from the patient for publication of this article.

Data Availability

All relevant data are within the paper and its Supporting Information files.

Conflict of Interest

Authors declare no conflict of interest.

Copyright

© 2022 Midhun Mohan et al. This article is distributed under the terms of Creative Commons Attribution License which permits unrestricted use, distribution and reproduction in any medium provided the original author(s) and original publisher are properly credited. Please see the copyright policy on the journal website for more information.