Case Report


A rare case of spermatic cord leiomyosarcoma

,  ,  ,  

1 Cooper University Hospital, Camden, New Jersey, United States

2 Department of Pathology, Cooper University Hospital, Camden, New Jersey, United States

3 MD Anderson Cancer Center at Cooper, Cooper University Hospital, Camden, New Jersey, United States

Address correspondence to:

Justin M Tiongson

Cooper University Hospital, Camden, New Jersey,

United States

Message to Corresponding Author


Article ID: 100020Z15JT2021

doi: 10.5348/100020Z15JT2021CR

Access full text article on other devices

Access PDF of article on other devices

How to cite this article

Tiongson JM, Patel PA, McFarland M, Tomaszewski JJ. A rare case of spermatic cord leiomyosarcoma. J Case Rep Images Urol 2021;6:100020Z15JT2021.

ABSTRACT


Introduction: Spermatic cord leiomyosarcoma is a rare soft tissue malignancy of paratesticular origin. Clinically, this tumor presents as a firm, painless, and slowly enlarging intrascrotal mass. Initial diagnostic testing includes scrotal ultrasonography followed by computed tomography (CT) scan or magnetic resonance imaging (MRI). The conventional management of spermatic cord leiomyosarcoma involves radical inguinal orchiectomy with high ligation of the spermatic cord.

Case Report: A 48-year-old African American male presented with a painless mass in his right hemiscrotum for 8-months’ duration. Scrotal ultrasound revealed a right-sided, heterogenous extratesticular scrotal mass. The patient underwent radical inguinal orchiectomy with excision of the spermatic cord. Subsequent histopathologic testing revealed a malignant spindle cell neoplasm consistent with leiomyosarcoma with evidence of lymphovascular involvement of the testicular vein and positive surgical margins. Staging CT scans of the chest, abdomen, and pelvis were negative for metastatic disease. Postoperative radiotherapy was deferred, with the patient currently under surveillance for local recurrence.

Conclusion: Leiomyosarcoma of the spermatic cord is a rare malignancy that currently lacks a standardized treatment approach. While radical orchiectomy is considered the gold standard of treatment, more evidence is needed to optimize other treatment modalities.

Keywords: Case report, Leiomyosarcoma, Paratesticular, Spermatic cord

Introduction


Leiomyosarcoma is a malignant soft tissue tumor of smooth muscle origin. Soft tissue sarcomas of the genitourinary tract are exceedingly rare, accounting for <5% of all sarcomas and <2% of all urologic tumors [1]. Furthermore, primary tumors of the paratesticular tissues (e.g., testicular tunica, epididymis, or spermatic cord) are uncommon, accounting for only 7–10% of intrascrotal tumors [2]. Leiomyosarcoma of the spermatic cord is the second-most common histologic subtype, with about 110 cases reported in the literature [3]. Clinically, spermatic cord leiomyosarcoma usually presents as a firm, slowly enlarging, indolent scrotal mass. The initial diagnostic test of choice is scrotal ultrasound followed by staging magnetic resonance imaging (MRI), when appropriate, to confirm the anatomic extent of the neoplasm. Management decisions are guided by expert consensus and a limited number of case series, and typically involve radical inguinal orchiectomy with high ligation of the spermatic cord. Herein we present the case of a 48-year-old male with a right paratesticular leiomyosarcoma of the spermatic cord.

Case Report


A 48-year-old African American male with hypertension presented with a painless mass in his right hemi-scrotum present for the last eight months. The mass had increased slightly in size over the last month and was associated with nocturia. The patient denied dysuria, hematuria, incontinence, bone pain, fevers, chills, and weight loss. He denied any testicular trauma as well as personal or family history of urologic malignancy. Examination showed a firm, extratesticular 10 cm mass with irregular borders within the right hemi-scrotum.

Ultrasound performed one month prior revealed a right-sided heterogeneous mixed cystic and solid extratesticular intrascrotal mass measuring 5.3 × 5.7 × 5.9 cm without associated vascular abnormality (Figure 1A and Figure 1B). The right epididymis had a homogeneous echotexture, and the right testis was normal in size with preserved vascular flow on color and spectral Doppler. He also had a large ipsilateral hydrocele.

The patient underwent right radical inguinal orchiectomy with excision of the spermatic cord. A paratesticular mass grossly measuring 9.7 × 7 × 6.5 cm was excised and sent for pathologic examination. Microscopy revealed a malignant spindle cell neoplasm consistent with leiomyosarcoma associated with areas of hypercellularity measuring 24 mitoses per 10 high-power fields (0.1735 mm2) and positive surgical margins (Figure 2). There was evidence of lymphovascular involvement of the testicular vein without invasion of the vas deferens or the spermatic cord stroma (Figure 3 and Figure 4). Immunohistochemistry was diffusely reactive for calponin, caldesmon, desmin, and smooth muscle actin immunostains. The final pathologic stage classification was pT2 (pTNM; American Joint Committee on Cancer, 8th edition). Staging CT scans of the chest, abdomen, and pelvis were negative for metastatic disease. Following multidisciplinary discussion, adjuvant radiotherapy was offered but deferred after careful consideration of this patient’s case. Scrotal immobilization during radiotherapy is challenging and limits the delivery of a targeted, reproducible radiotherapy dose. Furthermore, an extensive postoperative radiotherapy field would be required. The patient remains disease-free at one month of follow-up after surgery, with plans for continued surveillance.

Figure 1: (A) Right testicular ultrasonography demonstrating heterogeneous, mixed cystic, and solid mass. (B) Right testicular ultrasonography with Doppler.

Share Image:

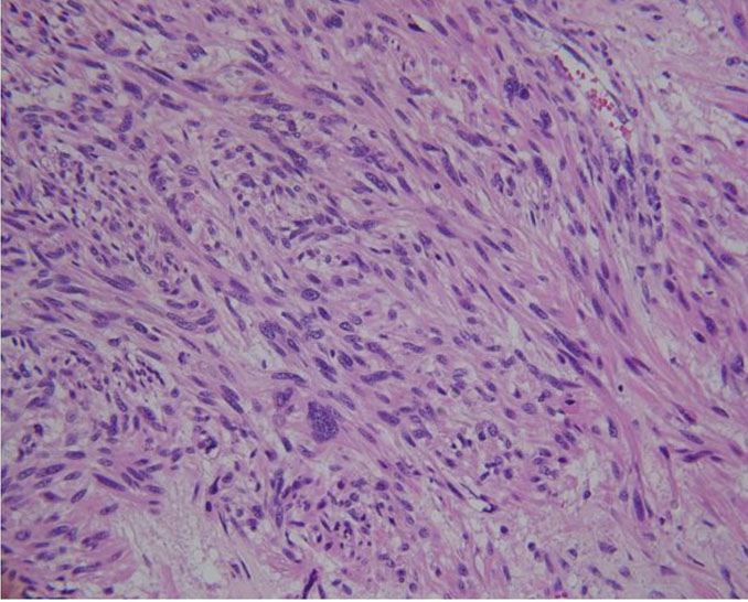
Figure 2: Hematoxylin and eosin (H&E) stain, 200× demonstrating fascicles of spindle cells, some with atypia.

Share Image:

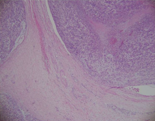
Figure 3: H&E stain, 400× demonstrating leiomyosarcoma attached to the wall of the spermatic vein.

Share Image:

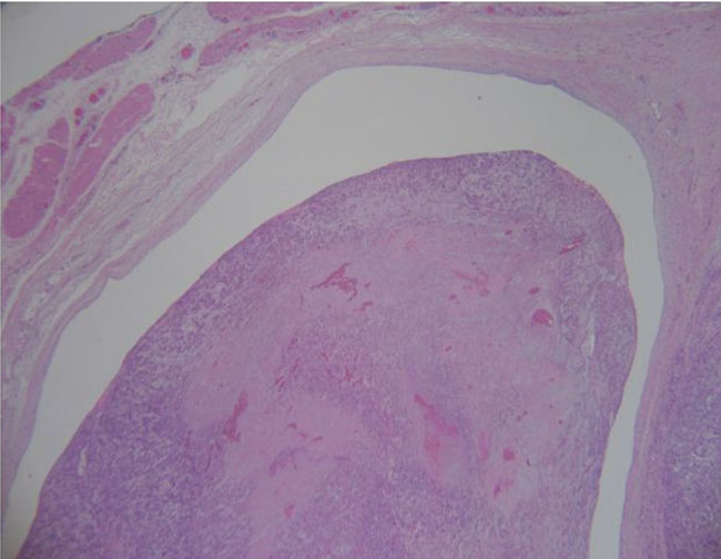
Figure 4: H&E stain, 200× demonstrating paratesticular leiomyosarcoma inside lumen of testicular vein.

Share Image:

Discussion


Leiomyosarcomas of the spermatic cord are rare malignant neoplasms and account for 10–30% of paratesticular tumors [4]. They arise from cremaster muscle, vas deferens, and blood vessels of spermatic cord. Most cases present between the sixth and seventh decade of life, with a median age of onset of 64 years [5]. Clinically, a spermatic cord leiomyosarcoma presents as an enlarging, painless intrascrotal mass. The initial diagnostic test of choice is a scrotal ultrasound with Doppler to rule out acute disorders such as testicular torsion or incarcerated inguinal hernia. Scrotal ultrasonography may differentiate between intratesticular and extratesticular lesions with greater than 98% sensitivity [6]. Confirmatory imaging with pelvic computed tomography (CT) or MRI may be used to better characterize the size, location, and extent of the tumor as well as to detect the presence of pelvic or retroperitoneal lymphadenopathy [7]. Definitive histologic diagnosis is made via positive immunohistochemical staining for muscle-specific actin (HHF-35), α-smooth muscle actin, desmin, and h-caldesmon, indicating smooth muscle differentiation. Histologically, the most reliable prognostic indicator for malignant potential of these tumors is the mitotic index (e.g., mitotic figures per 10 high-power fields) (MI), with an MI > 10 suggestive of malignancy [5].

Because spermatic cord leiomyosarcoma occurs infrequently, a standardized treatment protocol is yet to be established. One European multi-center study by enrolled 23 patients with spermatic cord leiomyosarcoma to assess the feasibility of conservative surgical management (e.g., organ sparing surgery) versus radical orchiectomy [8]. Their research determined a statistically significant correlation between the number and size of the lesions and the rate of recurrence, suggesting that conservative management may be feasible for small, solitary, and noninfiltrating disease. However, a separate review of 10 cases found simple excision to be inadequate as residual disease was found in 27% of cases that underwent repeat wide excision [9]. These researchers thus recommended postoperative scrotal and pelvic radiation therapy in addition to surgical resection.

Although the role of radiotherapy remains unclear, there is increasing evidence supporting the use of adjuvant radiation in combination with aggressive surgical excision. One review found local recurrence rates after resection alone at 10 and 15 years to be 30% and 42%, respectively [10]. Further, their research determined local recurrence was strongly correlated with relatively high rates of treatment failure. In their study, a limited sample of 3 patients received surgery plus radiotherapy, none of whom developed recurrent disease after a median follow-up period of 9 years. Additional studies found similar rates of durable local control in patients who received combined therapy versus surgery alone [11].

The use of conventional adjuvant systemic chemotherapy for spermatic cord leiomyosarcoma is not well defined outside of recurrent or metastatic disease. In one series, neither adjuvant radiation nor chemotherapy demonstrated a significant improvement in local recurrence or disease-free survival in adult patients with spermatic cord sarcoma [12]. However, most of the current literature surrounding the utilization of chemotherapy for spermatic cord tumors is limited to its use in aggressive histologic (i.e., high-grade) subtypes and in metastatic disease. Given the relative scarcity of substantiating anecdotal or experimental evidence surrounding its clinical utility, adjuvant systemic chemotherapy is not routinely recommended.

At present, there is insufficient evidence to support prophylactic lymph node dissection when treating spermatic cord leiomyosarcoma. While a review of 101 patients with paratesticular sarcoma demonstrated retroperitoneal lymph node involvement in as high as 29% of cases, the true incidence of nodal metastasis is yet to be described [13]. However, further review of the literature indicates that the most common histologic subtypes of spermatic cord tumors, namely liposarcoma and leiomyosarcoma, have a greater propensity to spread via direct extension rather than regional lymph node involvement. Therefore, there is insufficient evidence supporting the therapeutic benefit of prophylactic regional lymphadenectomy in the management of spermatic cord leiomyosarcoma.

While rare, spermatic cord leiomyosarcoma should be considered in the differential diagnosis for a patient presenting with a hard testicular mass. Treatment via radical orchiectomy without adjuvant therapy is currently considered the consensus standard of treatment for these patients. Close radiographic monitoring and follow-up are important to assess for treatment response. Due to the rarity of these tumors and the relative paucity of data surrounding the efficacy of current treatment approaches, further research is necessary to better elucidate a standardized protocol for managing spermatic cord leiomyosarcoma.

Conclusion


Leiomyosarcoma of the spermatic cord is a rare entity that currently lacks a standardized treatment protocol. While radical inguinal orchiectomy with high ligation of spermatic cord is the conventional standard for approaching these tumors, limited data and conflicting recommendations exist surrounding the utility of organ-sparing excision, adjuvant chemoradiotherapy, and lymph node dissection. Further research is necessary to better define the most efficacious approach to managing these rare tumors.

REFERENCES


1.

Celik O, Unlu G. A rare case: Paratesticular leiomyosarcoma. Asian J Androl 2013;15(6):843–4. [CrossRef] [Pubmed]   Back to citation no. 1  

2.

Rodríguez D, Barrisford GW, Sanchez A, Preston MA, Kreydin EI, Olumi AF. Primary spermatic cord tumors: Disease characteristics, prognostic factors, and treatment outcomes. Urol Oncol 2014;32(1):52. e19–25. [CrossRef] [Pubmed]   Back to citation no. 1  

3.

Moussa M, Abou Chakra M. Leiomyosarcoma of the spermatic cord: A case report and literature review. Int J Surg Case Rep 2019;57:175–8. [CrossRef] [Pubmed]   Back to citation no. 1  

4.

Lopes RI, Leite KR, Lopes RN. Paratesticular leiomyosarcoma treated by enucleation. Int Braz J Urol 2006;32(1):66–7. [CrossRef] [Pubmed]   Back to citation no. 1  

5.

Fisher C, Goldblum JR, Epstein JI, Montgomery E. Leiomyosarcoma of the paratesticular region: A clinicopathologic study. Am J Surg Pathol 2001;25(9):1143–9. [CrossRef] [Pubmed]   Back to citation no. 1  

6.

Rifkin MD, Kurtz AB, Pasto ME, Goldberg BB. Diagnostic capabilities of high-resolution scrotal ultrasonography: Prospective evaluation. J Ultrasound Med 1985;4(1):13–9. [CrossRef] [Pubmed]   Back to citation no. 1  

7.

Beydoun B, Weinberg B, Hurst N, et al. A case of spermatic cord leiomyosarcoma: Clinical presentation, treatment and literature review. Appl Rad Oncol 2017;6(4):37–40.   Back to citation no. 1  

8.

Bozzini G, Albersen M, Romero Otero J, et al. Feasibility and safety of conservative surgery for the treatment of spermatic cord leiomyosarcoma. Int J Surg 2015;24(Pt A):81–4. [CrossRef] [Pubmed]   Back to citation no. 1  

9.

Blitzer PH, Dosoretz DE, Proppe KH, Shipley WU. Treatment of malignant tumors of the spermatic cord: A study of 10 cases and a review of the literature. J Urol 198;126(5):611–4. [CrossRef] [Pubmed]   Back to citation no. 1  

10.

Ballo MT, Zagars GK, Pisters PW, Feig BW, Patel SR, von Eschenbach AC. Spermatic cord sarcoma: Outcome, patterns of failure and management. J Urol 2001;166(4):1306–10. [CrossRef] [Pubmed]   Back to citation no. 1  

11.

Fagundes MA, Zietman AL, Althausen AF, Coen JJ, Shipley WU. The management of spermatic cord sarcoma. Cancer 1996;77(9):1873–6. [Pubmed]   Back to citation no. 1  

12.

Coleman J, Brennan MF, Alektiar K, Russo P. Adult spermatic cord sarcomas: Management and results. Ann Surg Oncol 2003;10(6):669–75. [CrossRef] [Pubmed]   Back to citation no. 1  

13.

Banowsky LH, Shultz GN. Sarcoma of the spermatic cord and tunics: Review of the literature, case report and discussion of the role of retroperitoneal lymph node dissection. J Urol 1970;103(5):628–31. [CrossRef] [Pubmed]   Back to citation no. 1  

SUPPORTING INFORMATION


Author Contributions

Justin M Tiongson - Conception of the work, Design of the work, Acquisition of data, Analysis of data, Drafting the work, Revising the work critically for important intellectual content, Final approval of the version to be published, Agree to be accountable for all aspects of the work in ensuring that questions related to the accuracy or integrity of any part of the work are appropriately investigated and resolved.

Parth A Patel - Conception of the work, Design of the work, Acquisition of data, Analysis of data, Drafting the work, Revising the work critically for important intellectual content, Final approval of the version to be published, Agree to be accountable for all aspects of the work in ensuring that questions related to the accuracy or integrity of any part of the work are appropriately investigated and resolved.

Miles McFarland - Conception of the work, Design of the work, Acquisition of data, Analysis of data, Drafting the work, Revising the work critically for important intellectual content, Final approval of the version to be published, Agree to be accountable for all aspects of the work in ensuring that questions related to the accuracy or integrity of any part of the work are appropriately investigated and resolved.

Jeffrey J Tomaszewski - Conception of the work, Design of the work, Acquisition of data, Analysis of data, Drafting the work, Revising the work critically for important intellectual content, Final approval of the version to be published, Agree to be accountable for all aspects of the work in ensuring that questions related to the accuracy or integrity of any part of the work are appropriately investigated and resolved.

Guaranter of Submission

The corresponding author is the guarantor of submission.

Source of Support

None

Consent Statement

Written informed consent was obtained from the patient for publication of this article.

Data Availability

All relevant data are within the paper and its Supporting Information files.

Conflict of Interest

Authors declare no conflict of interest.

Copyright

© 2021 Justin M Tiongson et al. This article is distributed under the terms of Creative Commons Attribution License which permits unrestricted use, distribution and reproduction in any medium provided the original author(s) and original publisher are properly credited. Please see the copyright policy on the journal website for more information.


Comment on Article