Clinical Image


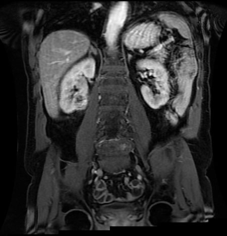
Systemic amyloidosis causing profound retroperitoneal and perinephric calcified deposits

,  ,  ,  

1 Virginia Tech Carilion School of Medicine, Roanoke, VA, USA

2 University of Virginia Medical School, Charlottesville, VA, USA

3 Urology, University of Virginia Medical School, Charlottesville, VA, USA

Address correspondence to:

Jacob Hartman-Kenzler

2 Riverside Circle, Roanoke, VA 24016,

USA

Message to Corresponding Author


Article ID: 100022Z15JK2021

doi: 10.5348/100022Z15JK2021CI

Access full text article on other devices

Access PDF of article on other devices

How to cite this article

Hartman-Kenzler J, Salomon M, Yeaman C, Krupski T. Systemic amyloidosis causing profound retroperitoneal and perinephric calcified deposits. J Case Rep Images Urol 2021;6:100022Z15JK2021.

ABSTRACT


No Abstract

Keywords: Amyloidosis, Lymphoplasmacytic lymphoma, Retroperitoneal calcifications, Systemic amyloidosis

SUPPORTING INFORMATION


Author Contributions

Jacob Hartman-Kenzler - Analysis of data, Drafting the work, Revising the work critically for important intellectual content, Final approval of the version to be published, Agree to be accountable for all aspects of the work in ensuring that questions related to the accuracy or integrity of any part of the work are appropriately investigated and resolved.

Michael Salomon - Drafting the work, Final approval of the version to be published, Agree to be accountable for all aspects of the work in ensuring that questions related to the accuracy or integrity of any part of the work are appropriately investigated and resolved.

Clinton Yeaman - Conception of the work, Design of the work, Revising the work critically for important intellectual content, Final approval of the version to be published, Agree to be accountable for all aspects of the work in ensuring that questions related to the accuracy or integrity of any part of the work are appropriately investigated and resolved.

Tracey Krupski - Conception of the work, Design of the work, Revising the work critically for important intellectual content, Final approval of the version to be published, Agree to be accountable for all aspects of the work in ensuring that questions related to the accuracy or integrity of any part of the work are appropriately investigated and resolved.

Guaranter of Submission

The corresponding author is the guarantor of submission.

Source of Support

None

Consent Statement

Written informed consent was obtained from the patient for publication of this article.

Data Availability

All relevant data are within the paper and its Supporting Information files.

Conflict of Interest

Authors declare no conflict of interest.

Copyright

© 2021 Jacob Hartman-Kenzler et al. This article is distributed under the terms of Creative Commons Attribution License which permits unrestricted use, distribution and reproduction in any medium provided the original author(s) and original publisher are properly credited. Please see the copyright policy on the journal website for more information.