Case Report


Presentation and treatment for reno-duodenal fistula in an acutely ill patient

,  ,  ,  ,  

1 Department of Surgery, Division of Urology, Rutgers New Jersey Medical School, 185 South Orange Avenue, Newark, NJ, USA

Address correspondence to:

Imran M Khawaja

MD, Department of Surgery, Division of Urology, Rutgers New Jersey Medical School, Medical Science Building, 185 South Orange Avenue, Newark, NJ 07103,

USA

Message to Corresponding Author


Article ID: 100046Z15IK2024

doi: 10.5348/100046Z15IK2024CR

Access full text article on other devices

Access PDF of article on other devices

How to cite this article

Khawaja IM, Jain K, Popovic A, Pandher M, Weiss RE. Presentation and treatment for reno-duodenal fistula in an acutely ill patient. J Case Rep Images Urol 2024;9(2):5–8.

ABSTRACT


Introduction: Renal duodenal fistulas are a very rare connection due to chronic inflammation or infection secondary to kidney stones.

Case Report: We present a female with right perinephric abscess and reno-duodenal fistula secondary to a long-standing history of kidney stones. Treatment involved drainage of the abscess, nephrostomy tube placement, intravenous antibiotics, and open nephrectomy and duodenal repair with gastrojejunostomy.

Conclusion: In this report, we discuss management strategies which range from conservative treatment of antibiotics to open nephrectomy. In addition, we will discuss the urologic and gastroenterological post-operative complications in this patient.

Keywords: Fistula, Gastrojejunostomy, Nephrectomy, Reno-duodenal fistula

Introduction


A fistula is a canalized tract that can form between two epithelial surfaces [1]. Uroenteric fistulas are rare connections between the urinary system and the digestive tract. The most common are colovesical fistulas. Reno-duodenal fistulas comprise of less than 1% of these connections [2]. Formation is multifactorial with documented causes including renal calculi and infectious processes [2]. A previous report estimated that as of 2020, there had only been approximately 80 reported cases in the literature [3]. Staghorn calculi have been implicated in causing reno-enteric fistulas due to neglected infections or iatrogenic injury during percutaneous nephrolithotomy [4],[5],[6]. Early recognition and management can preserve renal function and prevent recurrent infections that can lead to urosepsis.

Case Report


A patient in her late 50s with obesity, gout, hypertension, hyperlipidemia, monoclonal gammopathy of unknown significance (MGUS), and type 2 diabetes mellitus presented to our institution with significant right flank pain.

The patient had a complex history of kidney stones starting in 2018 in which she was found to have a right staghorn calculus within an atrophic kidney. A mercaptoacetyltriglycine renal scan showed 34% split function in the right kidney and she underwent percutaneous nephrolithotomy (PCNL) (Figure 1). Due to the size of the stone, the patient required a staged PCNL one month later and ureteroscopy and laser lithotripsy with complete resolution of her kidney stone. Stone analysis showed 90% struvite and 10% carbonate apatite. The patient had recurrent right kidney stones one year after and additional extracorporeal shockwave lithotripsy (ESWL).

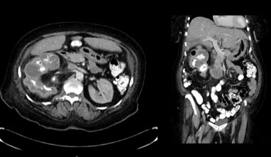
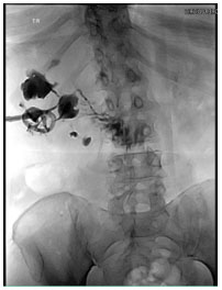
More recently, the patient presented with acute onset fevers and right flank pain. Computed tomography (CT) abdomen and pelvis showed xanthogranulomatous pyelonephritis as well as a perinephric abscess. The patient underwent percutaneous drainage of the abscess and placement of a nephrostomy. The patient underwent antegrade nephrostogram which demonstrated contrast in the small bowel and reno-duodenal fistula (Figure 2 and Figure 3). Initially, the patient was treated conservatively with intravenous antibiotics. Nuclear scan of the kidney showed it to be a non-functional kidney as a result of the infection.

 

Treatment

The patient ultimately underwent a right nephrectomy. The procedure started with esophagogastroduodenoscopy (EGD), endoscopic retrograde cholangiopancreatography, and stenting of the common bile duct and pancreatic duct to prevent injury and assist in identification of the fistula location. A chevron incision was made for proper exposure. With the assistance of a surgical oncologist, the duodenum was dissected away from the kidney using sharp and blunt dissection. The kidney was indurated and dissected away from the posterior musculature. The right renal hilum was stapled, and the right kidney was removed. The duodenal fistula was repaired primarily and repeat EGD was performed to ensure no leak. To allow for proper healing, duodenal exclusion with gastrojejunostomy was performed.

 

Outcome and follow up

Post-operatively, the patient had a nasogastric tube for six days and was able to tolerate a regular diet on postoperative day 7. During the hospitalization, the patient was given piperacillin-tazobactam and was discharged to an acute rehabilitation facility. She followed up one month after discharge without incident.

Figure 1: CT during initial stone presentation and IR nephrostomy.

Share Image:

Figure 2: CT scan showing xanthogranulomatous pyelonephritis (XGP) kidney.

Share Image:

Figure 3: Antegrade nephrostogram showing reno-duodenal fistula.

Share Image:

Discussion


Reno-duodenal fistulas rarely occur to form a pathological connection between the urinary system and digestive tracts. This report highlights the course of presentation and management for an individual with a history of staghorn calculus and perinephric abscess. The patient presented with xanthogranulomatous pyelonephritis and loss of function complicated by abscess and fistula formation and definitive treatment was offered through nephrectomy, duodenal repair, and gastrojejunostomy.

The patient presented with a staghorn calculus and recurrent infections requiring multiple treatments with PCNL, ureteroscopy and laser lithotripsy, and ESWL. Recurrent kidney stones, repeat surgery, and infections are associated with increased inflammation and scarring of the kidney [7],[8],[9]. This chronic inflammation most likely led to erosion and fistulation of the kidney to the duodenum.

While reports have previously characterized reno-duodenal fistulas, etiology and management have varied [8],[9],[10]. Owen et al. reported a similar patient with a perinephric abscess and fistula secondary to a staghorn calculus that was treated with a gastrojejunostomy with duodenal repair and omental patch along with an open nephrectomy [2]. Lin et al. reported a case of a patient with renal duodenal fistula due to a staghorn calculus in the right kidney complicated by emphysematous pyelonephritis and perinephric abscess that underwent a nephrectomy and primary duodenal repair [11]. Hohenleitner et al. reported a patient who presented with signs of infection three months after surgical repair of a penetrating abdominal trauma. The patient developed a loculated perinephric abscess with concurrent reno-duodenal fistula that was treated with a nephrectomy with suture ligation and subsequent division [10]. While nephrectomy and duodenal repair has demonstrated efficacy, endoscopic ligation has also been successfully utilized for a frail patient pursuing non-surgical treatment [2],[9],[10]. In this patient with pyelonephritis and reno-duodenal fistula, a gastroenterologist placed four clips to obliterate the tract in conjunction with antibiotics. However, previous studies have suggested that non-surgical treatment and kidney conservation may carry a worse prognosis in primary renal pathology [12],[13]. Discretion should be advised when considering operative versus conservative management with consideration given to a patient’s presenting renal function [9].

Conclusion


Reno-duodenal fistulas are a rare pathological connection between the renal and digestive tracts. Renal stones may serve as a nidus for infection, contributing to abscess and fistula formation in nearby abdominal viscera. Acute management should include nephrostomy and further evaluation. In this case, nephrectomy, duodenal repair with gastrojejunostomy successfully managed the fistula.

REFERENCES


1.

Ioannidis O, Paraskevas G, Kakoutis E, et al. Coexistence of multiple omphalomesenteric duct anomalies. J Coll Physicians Surg Pak 2012;22(8):524–6. [Pubmed]   Back to citation no. 1  

2.

Owen WJ, Folkard SS, Rohatgi A, Watson A, Peters JL. Reno-duodenal fistula as a complication of longstanding renal tract calculus. Oxf Med Case Reports 2019;2019(12):498–501. [CrossRef] [Pubmed]   Back to citation no. 1  

3.

Anand A, Gupta R, Chandail VS. Pyeloduodenal fistula: A rare case report. Urol Case Rep 2020;32:101224. [CrossRef] [Pubmed]   Back to citation no. 1  

4.

Alster C, Zantut LFC, Lorenzi F, et al. An unusual case of pneumoperitoneum: Nephrocolic fistula due to a giant renal staghorn calculus. Br J Radiol 2007;80(949):e1–3. [CrossRef] [Pubmed]   Back to citation no. 1  

5.

Sharbaugh A, Morgan Nikonow T, Kunkel G, Semins MJ. Contemporary best practice in the management of staghorn calculi. Ther Adv Urol 2019;11:1756287219847099. [CrossRef] [Pubmed]   Back to citation no. 1  

6.

Campobasso D, Granelli P, Maestroni U, Cerasi D, Ferretti S, Cortellini P. Are nephroenteric fistulas only a surgical trouble? Indian J Surg 2015;77(3):222–5. [CrossRef] [Pubmed]   Back to citation no. 1  

7.

Dejban P, Wilson EM, Jayachandran M, et al. Inflammatory cells in nephrectomy tissue from patients without and with a history of urinary stone disease. Clin J Am Soc Nephrol 2022;17(3):414–22. [CrossRef] [Pubmed]   Back to citation no. 1  

8.

Jones AL, Braden LA, Hillyer SP. Surgical correction of multiple renoduodenal fistulas due to chronic pyelonephritis: A case report and literature review. J Surg Case Rep 2024;2024(2):rjae051. [CrossRef] [Pubmed]   Back to citation no. 1  

9.

Lee KN, Hwang IH, Shin MJ, et al. Pyeloduodenal fistula successfully treated by endoscopic ligation without surgical nephrectomy: Case report. J Korean Med Sci 2014;29(1):141–4. [CrossRef] [Pubmed]   Back to citation no. 1  

10.

Hohenleitner J, Yu Y, Gore A, Traupman F, Jackson M, Kunac A. Renoduodenal fistula following penetrating abdominal injury. Am Surg 2022;88(4):793–5. [CrossRef] [Pubmed]   Back to citation no. 1  

11.

Lin W, Watts K, Aboumohamed A. Renoalimentary fistula: Case report of a renoduodenal fistula and systematic literature review. Urol Case Rep 2018;18:41–3. [CrossRef] [Pubmed]   Back to citation no. 1  

12.

Poon JTC, Tam PC, Chu KM. Pyeloduodenocolic fistula. Asian J Surg 2003;26(3):186–8. [CrossRef] [Pubmed]   Back to citation no. 1  

13.

Chen CH, Cheng HL, Tong YC, Pan CC. Spontaneous pyeloduodenal fistula: An unusual presentation in advanced renal transitional cell carcinoma. Urology 2002;60(2):345. [CrossRef] [Pubmed]   Back to citation no. 1  

SUPPORTING INFORMATION


Author Contributions

Imran M Khawaja - Conception of the work, Design of the work, Acquisition of data, Analysis of data, Drafting the work, Revising the work critically for important intellectual content, Final approval of the version to be published, Agree to be accountable for all aspects of the work in ensuring that questions related to the accuracy or integrity of any part of the work are appropriately investigated and resolved.

Kunj Jain - Conception of the work, Design of the work, Acquisition of data, Analysis of data, Drafting the work, Revising the work critically for important intellectual content, Final approval of the version to be published, Agree to be accountable for all aspects of the work in ensuring that questions related to the accuracy or integrity of any part of the work are appropriately investigated and resolved.

Aleksandar Popovic - Conception of the work, Design of the work, Acquisition of data, Analysis of data, Drafting the work, Revising the work critically for important intellectual content, Final approval of the version to be published, Agree to be accountable for all aspects of the work in ensuring that questions related to the accuracy or integrity of any part of the work are appropriately investigated and resolved.

Meher Pandher - Conception of the work, Design of the work, Acquisition of data, Analysis of data, Drafting the work, Revising the work critically for important intellectual content, Final approval of the version to be published, Agree to be accountable for all aspects of the work in ensuring that questions related to the accuracy or integrity of any part of the work are appropriately investigated and resolved.

Robert E Weiss - Conception of the work, Design of the work, Acquisition of data, Analysis of data, Drafting the work, Revising the work critically for important intellectual content, Final approval of the version to be published, Agree to be accountable for all aspects of the work in ensuring that questions related to the accuracy or integrity of any part of the work are appropriately investigated and resolved.

Guaranter of Submission

The corresponding author is the guarantor of submission.

Source of Support

None

Consent Statement

Written informed consent was obtained from the patient for publication of this article.

Data Availability

All relevant data are within the paper and its Supporting Information files.

Conflict of Interest

Authors declare no conflict of interest.

Copyright

© 2024 Imran M Khawaja et al. This article is distributed under the terms of Creative Commons Attribution License which permits unrestricted use, distribution and reproduction in any medium provided the original author(s) and original publisher are properly credited. Please see the copyright policy on the journal website for more information.