Case Report


Paraganglioma in paratesticular: A rare case report

,  ,  ,  ,  ,  

1 Urology Department, King Fahad Hospital Hofuf, AlAhsa Health Cluster, Saudi Arabia

Address correspondence to:

Ahmed Mousa Almuhanna

Urology Department, King Fahad Hospital Hofuf, AlAhsa Health Cluster,

Message to Corresponding Author


Article ID: 100043Z15AA2024

doi: 10.5348/100043Z15AA2024CR

Access full text article on other devices

Access PDF of article on other devices

How to cite this article

Almuhanna AM, Alghorairy B, Alessawi TH, Albagshi SS, Alhazeem A, AlModhi HM. Paraganglioma in paratesticular: A rare case report. J Case Rep Images Urol 2024;9(1):18–21.

ABSTRACT


Paraganglioma at a paratesticular location is extremely rare. We report a 58-year-old Saudi male presented with two years history of right painless scrotal mass. On physical examination the scrotum revealed a right-sided non-tender mass not attached to right testis. Normal tumor markers of testicular tumor. Ultrasonography revealed a well-defined, homogeneous, hyperechoic lesion measuring approximately 2 cm in the right extratesticular region. Magnetic resonance imaging (MRI) with intravenous (IV) gadolinium contrast for abdominal and pelvis showed right extratesticular soft tissue mass not separable from the spermatic cord and there was no distant metastasis. The patient underwent exploratory excision of the mass with preservation of cord and testis. Histopathology showed paratesticular paraganglioma.

Keywords: Paraganglioma, Testicular, Tumor

Introduction


Paragangliomas are unique rare neuroendocrine neoplasms arising from neural crest [1]. These tumors are usually located in the carotid body, the jugulotympanic body, or mediastinal vessels with the majority being benign. Although they have been described in most organ but rarely found in genital site, a paraganglioma at a paratesticular location is extremely rare. The clinical features of these tumors are variable, including hypertension, palpitations, headache, sweating, and other symptoms associated with increased catecholamine levels [1]. We report a case of asymptomatic painless solitary right primary paraganglioma in the paratesticular region.

Case Report


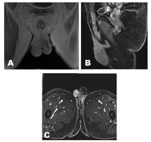
A 58-years-old Saudi male presented with two years history of right painless scrotal mass. There was no history of fever, genital trauma, genital infection, or tuberculosis (TB). The patient denied having nausea, vomiting, diarrhea, flushing, palpitations, or weight changes. On physical examination, the scrotum revealed a right-sided non-tender mass with 2 cm above and not attached to right testis. The left side of the scrotum was normal and no palpable lymph nodes. Normal tumor markers of testicular tumor. Ultrasonography revealed a well-defined, homogeneous, hyperechoic lesion measuring approximately 2 cm in the right extratesticular region.. It was seen superior to right testis and right epididymis and separable from them with high vascularity by Doppler study. Both testes appeared average in size and normal vascularity (Figure 1). Magnetic resonance imaging (MRI) with intravenous (IV) gadolinium contrast for abdominal and pelvis showed right extratesticular soft tissue mass not separable from the spermatic cord and there was no distant metastasis (Figure 2A, Figure 2B, Figure 2C). Based on images, provisional clinical diagnosis of a benign paratesticular mass was made and the patient underwent exploratory excision of the mass with preservation of cord and testis. The patient was discharged two days after surgery. Histopathology showed grossly a single soft gray light brown tissue mass measuring 2×2 cm with white firm focally fleshy cut surface. Microscopically, cells arranged in nested and trabecular growth pattern. The neoplasm is composed of tumor nests comprising of round cells with abundant granular eosinophilic-basophilic focally clear cytoplasm surrounded by sustentacular cells embedded in vascular rich stroma. The lesion exhibited no evidence of capsular invasion, lymphovascular invasion, a diffuse pattern, tumor necrosis, atypical mitosis, or increased mitotic activity. Histopathology reported this mass is paraganglioma.

Figure 1: Ultrasonography showed homogeneous hyperechoic lesion measuring approximately 2 cm.

Share Image:

Figure 2: (A–C) MRI showed right extratesticular soft tissue mass not separable from the spermatic cord.

Share Image:

Discussion


Scrotal paratesticular masses are diagnostic dilemma. About 30% of paratesticular tumors are malignant. Therefore, all scrotal masses should be adequately evaluated [2]. Exploratory surgery is the definitive treatment. If mass is benign, a testis-sparing surgical procedure can be performed. Common benign tumors of the paratesticular region include lipomas, adenomatoid tumors, leiomyomas, fibromas, papillary, and cystadenomas [2]. But paragangliomas are extraordinarily rare tumors at this site. Generally, paragangliomas are neuroendocrine neoplasms of neural crest. They occur in the fourth and fifth decades and are equally prevalent in both genders [3]. Most paragangliomas are located in the adrenal gland, where they are referred to as pheochromocytomas. Extra-adrenal paragangliomas are found along the sympathetic and parasympathetic chains. The common sites for extra-adrenal paragangliomas include the carotid body, vagal body, middle ear, abdomen, and laryngeal areas [2]. Paragangliomas have occasionally been reported in the urogenital tract, in the urinary bladder [4], and the prostate [5]. The first reported case of paratesticular paraganglioma was found in 1971 by Eusebi et al. [6]. There are only few cases have been reported worldwide in the literature [7]. Paraganglioma can be functional or non-functional. In a functional lesion, the tumor secretes catecholamines and the presenting symptoms, such as headache, sweating, palpitations, and hypertension, are secondary to elevated levels of catecholamines. Our patient was asymptomatic and was not tested for catecholamine levels prior to surgery. Most paragangliomas are benign. Malignant lesions are rare occur in the fifth to seventh decade, and they tend to be more symptomatic than benign tumors. The diagnosis of malignancy is essentially based on the presence of distant metastasis. The lesion displays capsular or lymphovascular invasion, a diffuse pattern, tumor necrosis, atypical mitosis, increased mitotic activity, and protein-positive sustentacular cells. These findings indicate for malignancy [3]. However, findings are not reliable to establish diagnosis of malignancy. Therefore, the treatment of choice for a paraganglioma is complete surgical resection with regular follow-up to rule out a recurrence or metastases. Our patient underwent excision of right paratesticular paraganglioma and we follow him up for six months with physical examination only, since there is no clear protocol for follow-up.

Conclusion


Primary paratesticular paragangliomas are very rare. We believe that despite their rare incidence, they should be considered in the differential diagnosis of paratesticular tumors. Neither radiological imaging is sufficient to determine the nature of a paratesticular mass nor laboratory workup. The definitive diagnostic modality is surgical exploration and excisional biopsy for histopathological evaluation.

REFERENCES


1.

Strosberg JR. Update on the management of unusual neuroendocrine tumors: Pheochromocytoma and paraganglioma, medullary thyroid cancer and adrenocortical carcinoma. Semin Oncol 2013;40(1):120–33. [CrossRef] [Pubmed]   Back to citation no. 1  

2.

Khoubehi B, Mishra V, Ali M, Motiwala H, Karim O. Adult paratesticular tumours. BJU Int 2002;90(7):707–15. [CrossRef] [Pubmed]   Back to citation no. 1  

3.

Hunt J. Diseases of the paraganglia system. In: Thompson LDR, editor. Endocrine Pathology. In: Goldblum JR, series editor. Foundations in Diagnostic Pathology. 1ed. Philadelphia: Churchill Livingstone Elsevier; 2006. p. 327–8.   Back to citation no. 1  

4.

Cheng L, Beltran AL, MacLennan GT, Montironi R, Bostwick DG. Neoplasms of the urinary bladder. In: Bostwick D, Liang C, editors. Urologic Surgical Pathology. 2ed. Edinburgh: Mosby, Elsevier; 2008. p. 315–7.   Back to citation no. 1  

5.

Bostwick DG, Meiers I. Neoplasms of the prostate. In: Bostwick D, Liang C, editors. Urologic Surgical Pathology. 2ed. Edinburgh: Mosby, Elsevier; 2008. p. 538.   Back to citation no. 1  

6.

Eusebi V, Massarelli G. Phaeochromocytoma of the spermatic cord: Report of a case. J Pathol 1971;105(4):283–4. [CrossRef] [Pubmed]   Back to citation no. 1  

7.

Garaffa G, Muneer A, Freeman A, et al. Paraganglioma of the spermatic cord: Case report and review of the literature. Scientific World Journal 2008;8:1256–8. [CrossRef] [Pubmed]   Back to citation no. 1  

SUPPORTING INFORMATION


Author Contributions

Ahmed Mousa Almuhanna - Conception of the work, Design of the work, Revising the work critically for important intellectual content, Final approval of the version to be published, Agree to be accountable for all aspects of the work in ensuring that questions related to the accuracy or integrity of any part of the work are appropriately investigated and resolved.

Basim Alghorairy - Conception of the work, Design of the work, Analysis of data, Revising the work critically for important intellectual content, Final approval of the version to be published, Agree to be accountable for all aspects of the work in ensuring that questions related to the accuracy or integrity of any part of the work are appropriately investigated and resolved.

Turki H Alessawi - Final approval of the version to be published, Agree to be accountable for all aspects of the work in ensuring that questions related to the accuracy or integrity of any part of the work are appropriately investigated and resolved.

Sara Sameer Albagshi - Drafting the work, Revising the work critically for important intellectual content, Final approval of the version to be published, Agree to be accountable for all aspects of the work in ensuring that questions related to the accuracy or integrity of any part of the work are appropriately investigated and resolved.

Abdulrahman Alhazeem - Analysis of data, Revising the work critically for important intellectual content, Final approval of the version to be published, Agree to be accountable for all aspects of the work in ensuring that questions related to the accuracy or integrity of any part of the work are appropriately investigated and resolved.

Hussain M AlModhi - Acquisition of data, Drafting the work, Final approval of the version to be published, Agree to be accountable for all aspects of the work in ensuring that questions related to the accuracy or integrity of any part of the work are appropriately investigated and resolved.

Guaranter of Submission

The corresponding author is the guarantor of submission.

Source of Support

None

Consent Statement

Written informed consent was obtained from the patient for publication of this article.

Data Availability

All relevant data are within the paper and its Supporting Information files.

Conflict of Interest

Authors declare no conflict of interest.

Copyright

© 2024 Ahmed Mousa Almuhanna et al. This article is distributed under the terms of Creative Commons Attribution License which permits unrestricted use, distribution and reproduction in any medium provided the original author(s) and original publisher are properly credited. Please see the copyright policy on the journal website for more information.