Case Report


Robotic ureteroureterostomy for correction of a retrocaval ureter

,  ,  ,  

1 Detroit Medical Center Urology Residency, Harper Professional Building, 4160 John R St., Suite 1017, Detroit, MI 48201, USA

2 Kansas City University College of Ostopathic Medicine, 1750 Independence Ave., Kansas City, MO 64106, USA

Address correspondence to:

Jordan Sarver

Detroit Medical Center Urology Residency, Harper Professional Building, 4160 John R St., Suite 1017, Detroit, MI 48201,

USA

Message to Corresponding Author


Article ID: 100039Z15FS2024

doi: 10.5348/100039Z15FS2024CR

Access full text article on other devices

Access PDF of article on other devices

How to cite this article

Sarfo F, Limback K, Sarver J, Anderson BG. Robotic ureteroureterostomy for correction of a retrocaval ureter. J Case Rep Images Urol 2024;9(1):1–4.

ABSTRACT


Introduction: Retrocaval ureter is a rare condition identified in the adult patient usually revealing dilation of the proximal ureter as it passes posterior to the inferior vena cava. The presentation can vary from incidental radiographic findings to declining renal function secondary to hydronephrosis. Management of a retrocaval ureter typically involves surgery in patients who have symptoms or deterioration in renal function.

Case Report: This case report explores the diagnosis and treatment of a retrocaval ureter in a 34-year-old male who was referred to Urology after the detection of right-sided hydronephrosis on computed tomography (CT). Further management included a confirmatory CT, diuretic renogram, and retrograde pyelogram before definitive treatment with robotic ureteroureterostomy.

Conclusion: This case report explores the surgical steps to a robotic-assisted ureteroureterostomy to treat a retrocaval ureter that resulted in significant hydronephrosis and flank pain.

Keywords: Reconstruction, Robotics, Ureteropelvic junction, Urological surgery

Introduction


With an incidence of 1 in 1000 and a male predominant [1], a retrocaval ureter is a rare condition in which the proximal ureter passes posterior to the inferior vena cava (IVC) [2]. This causes ureteral obstruction as the ureter is compressed between the IVC, the posterior abdominal wall and vertebral bodies [2]. More distal to the obstruction, the ureter crosses the IVC anteriorly in normal anatomical position [2]. Patients often present in the third or fourth decade of life with flank pain, nephrolithiasis, hematuria, or urinary tract infections [1]. Retrocaval ureter may also be discovered incidentally on imaging. Management for type 1 retrocaval ureter typically involves surgery to correct the hydronephrosis in patients who have symptoms or deterioration in renal function [1].

Case Report


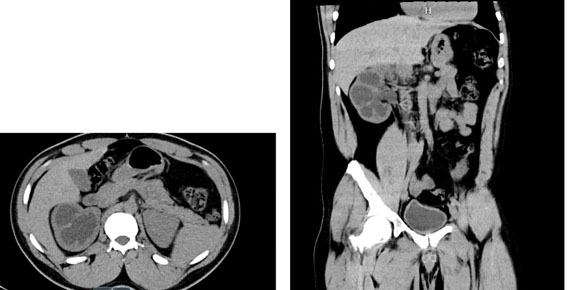
A 34-year-old male was referred for incidental right hydronephrosis observed on a CT abdomen and pelvis after a motor vehicle collision. The patient reported right flank pain following the accident. Past medical history and past surgical history were unremarkable. The patient denied hematuria, dysuria, lower urinary tract symptoms, or a history of urinary tract infections. Right costovertebral angle tenderness was present on physical examination. Urinalysis and urine culture were negative. Serum creatinine was 1.17 mg/dL, down from a previous measurement months before the motor vehicle accident of 1.77 mg/dL. A CT urogram revealed severe right hydronephrosis with possible ureteropelvic junction obstruction and diffuse thinning of the right renal parenchyma (Figure 1A and Figure 1B). A diuretic renogram was then obtained due to the thinning of the renal parenchyma and an unknown duration of hydronephrosis on the right kidney. There was a concern that the renal function may have declined over time due to prolonged obstruction. Subsequent diuretic nuclear renogram demonstrated normal uptake and a dilated right renal collecting system with delayed response to Lasix consistent with right partial high-grade obstruction (t1/2 25 minutes) (Figure 2). We then proceeded with cystoscopy with right retrograde pyelography to better detail the origin of the obstructive process. This demonstrated a tortuous proximal ureter with medial deviation and severe hydronephrosis consistent with a retrocaval ureter (Figure 3). The additional investigation using a retrograde pyelogram was performed for better diagnostic testing in case of future intraoperative planning for correction of the ureter. The retrograde pyelogram added details on the course of the proximal ureter and its’ anatomical tortuosity. A ureteral stent was placed for symptomatic relief of obstruction. The patient elected to undergo right robotic-assisted laparoscopic ureteroureterostomy. The patient was given prophylactic antibiotics. He was placed in the left lateral decubitus position with table flexion. Standard 8 mm da Vinci Xi (Intuitive Surgical, Sunnyvale, CA) trocar placement was performed for a right renal procedure (Figure 4). The robotic portion began with medial reflection the hepatic flexure and exposure of the right renal pelvis in standard fashion. The renal pelvis was expectedly dilated and prominent. The proximal ureter and IVC were identified. The ureteropelvic junction was dissected and encircled with a vessel loop. The ureter was found to be coursing posterior to the IVC, confirming retrocaval ureter. Identification of the ureter distal to the level of obstruction on the medial side of the IVC in the interaortocaval space was conducted (Figure 5). The distal aspect of the ureter was isolated with a second vessel loop. Care was taken not to unduly devascularize the ureter while mobilizing it to the extent allowing for transection and transposition of the ureter ventral to the IVC. The proximal ureter was sharply transected just distal to the ureteropelvic junction. The previously placed ureteral stent was removed. The ureter was transposed anterior to the IVC without tension (Figure 6). The proximal and distal ends of the ureter were spatulated, and a standard ureteroureterostomy was performed with two running stitches of 4-0 PDS suture (Ethicon, Bridgewater, NJ). Prior to completion of the ureteral anastomosis, a new 6 French, 28 cm double-J ureteral stent was then advanced antegrade over a Sensor wire (Boston Scientific, Marlborough, MA). The proximal stent coil was placed into the renal pelvis, and the anastomosis was completed. A JP drain was placed, and a Foley catheter was kept indwelling.

The patient’s postoperative course was uneventful. His Foley catheter was removed with subsequent JP drain output remaining low and fluid creatinine at the level of serum. The patient was discharged on the first postoperative day. Two weeks later, he reported resolution of his right flank pain. Repeat serum creatinine was 1.0 mg/dL. He returned four weeks later for ureteral stent removal and continued to be pain free.

Figure 1: (A) Axial, (B) Transverse. Cross-sectional imaging on initial presentation showing severe hydronephrosis with possible ureteropelvic junction obstruction from an abrupt transition point at the right ureteral pelvic junction.

Share Image:

Figure 2: Lasix renogram showing split function of right (62%) versus left (38%). Right function curve demonstrating normal uptake and a dilated collecting system, with delayed response to Lasix consistent with right partial high-grade obstruction.

Share Image:

Figure 3: Cystoscopy with right retrograde pyelography showing ureteropelvic junction obstruction and a tortuous proximal ureter.

Share Image:

Figure 4: Robotic port placement with the patient in the left lateral decubitus position.

Share Image:

Figure 5: Identification of the ureter distal to the level of obstruction on the medial side of the IVC in the interaortocaval space.

Share Image:

Figure 6: Transposed ureter after previous ureteral stent was removed without signs of tension.

Share Image:

Discussion


Retrocaval ureter is classified into two types. Type 1 is more common, accounting for 90% of cases, and is characterized by more distal obstruction behind the IVC at the L3–L4 level [2],[3]. This type resembles a J- or S-shape and can be associated with moderate to severe hydronephrosis [2]. Type 2 represents the remaining 10% of retrocaval ureters and causes mild or no hydronephrosis with obstruction occurring near the level of the renal pelvis [2],[3]. The patient in the present report is deemed to have had a type 1 retrocaval ureter. Imaging is fundamental in the diagnosis of retrocaval ureter, which also serves as a roadmap for surgical correction. Though renal ultrasound may be a first step as it readily identifies hydronephrosis, often it cannot differentiate the source of any distal obstruction. Historically, intravenous pyelography was used to diagnose retrocaval ureter [4],[5]. However, modern cross-sectional imaging such as CT urography provides greater anatomical detail for surgical planning purposes. Retrograde pyelography remains a useful adjunct in cases where CT urography does not sufficiently image the course of the ureter. In this case, the CT urogram failed to detail the course of the ureter posterior to the IVC. On the CT urogram findings, there was severe right hydronephrosis with possible ureteropelvic junction obstruction. The addition of the retrograde pyelogram showed the tortuous proximal ureter with medial deviation and severe hydronephrosis consistent with a retrocaval ureter. Based on the CT urogram findings alone this diagnosis would have been difficult to obtain. The additional of a retrograde pyelogram should be considered when surgeons are concerned for this rare anatomical abnormality. Our patient underwent a robotic ureteroureterostomy for surgical correction of a retrocaval leading to hydronephrosis and flank pain. He was doing well postoperatively and his symptoms improved. The surgical steps of the robotic procedure were detailed, adding a reference and review for surgeons regarding this rare disease process.

Conclusion


Management for type 1 retrocaval ureter typically involves surgery to correct the hydronephrosis in patients who have symptoms or deterioration in right renal function. Our patient underwent a robotic ureteroureterostomy for surgical correction of a retrocaval ureter leading to hydronephrosis and flank pain. The surgery can be performed open or laparoscopically, with or without robotic assistance, based on surgeon preference and experience. This case was performed via the robotic approached due to surgeon preference. Previous literature is sparse regarding the surgical steps for a successful robotic-assisted ureteroureterostomy as detailed in this study.

REFERENCES


1.

Uthappa MC, Anthony D, Allen C. Case report: Retrocaval ureter: MR appearances. Br J Radiol 2002;75(890):177–9. [CrossRef] [Pubmed]   Back to citation no. 1  

2.

Al-Hajjaj M, Tallaa M. Retrocaval ureter: A case report. J Surg Case Rep 2021;2021(1):rjaa596. [CrossRef] [Pubmed]   Back to citation no. 1  

3.

Bateson EM, Atkinson D. Circumcaval ureter: A new classification. Clin Radiol 1969;20(2):173–7. [CrossRef] [Pubmed]   Back to citation no. 1  

4.

Hsu HL, Huang KH, Liu KL. Retrocaval ureter. QJM 2011;104(1):65–6. [CrossRef] [Pubmed]   Back to citation no. 1  

5.

de Arruda GJF, de Arruda Neto JF, Eroles JC, et al. Incidental finding of retrocaval ureter in a patient without hydronephrosis. AME Case Rep 2018;2:42. [CrossRef] [Pubmed]   Back to citation no. 1  

SUPPORTING INFORMATION


Author Contributions

Frank Sarfo - Conception of the work, Design of the work, Acquisition of data, Analysis of data, Drafting the work, Revising the work critically for important intellectual content, Final approval of the version to be published, Agree to be accountable for all aspects of the work in ensuring that questions related to the accuracy or integrity of any part of the work are appropriately investigated and resolved.

Kylie Limback - Conception of the work, Design of the work, Acquisition of data, Analysis of data, Drafting the work, Revising the work critically for important intellectual content, Final approval of the version to be published, Agree to be accountable for all aspects of the work in ensuring that questions related to the accuracy or integrity of any part of the work are appropriately investigated and resolved.

Jordan Sarver - Conception of the work, Design of the work, Acquisition of data, Analysis of data, Drafting the work, Revising the work critically for important intellectual content, Final approval of the version to be published, Agree to be accountable for all aspects of the work in ensuring that questions related to the accuracy or integrity of any part of the work are appropriately investigated and resolved.

Barrett G Anderson - Conception of the work, Design of the work, Acquisition of data, Analysis of data, Drafting the work, Revising the work critically for important intellectual content, Final approval of the version to be published, Agree to be accountable for all aspects of the work in ensuring that questions related to the accuracy or integrity of any part of the work are appropriately investigated and resolved.

Guaranter of Submission

The corresponding author is the guarantor of submission.

Source of Support

None

Consent Statement

Written informed consent was obtained from the patient for publication of this article.

Data Availability

All relevant data are within the paper and its Supporting Information files.

Conflict of Interest

Authors declare no conflict of interest.

Copyright

© 2024 Frank Sarfo et al. This article is distributed under the terms of Creative Commons Attribution License which permits unrestricted use, distribution and reproduction in any medium provided the original author(s) and original publisher are properly credited. Please see the copyright policy on the journal website for more information.