Case Report


Right inguinal hernia containing ureter: A rare “tortuous” surprise for general surgeons and urologists

,  

1 Urology Department, Sirai Hospital, Carbonia, Italy

2 Chief of Urology Department, ARNAS G. Brotzu, Cagliari and Former Chief of Urology Department, Sirai Hospital, Carbonia, Italy

Address correspondence to:

Riccardo Farci

Urology Department, Sirai Hospital, Via dell’Ospedale, 09013 Carbonia,

Italy

Message to Corresponding Author


Article ID: 100052Z15RF2025

doi: 10.5348/100052Z15RF2025CR

Access full text article on other devices

Access PDF of article on other devices

How to cite this article

Farci R, Solinas A. Right inguinal hernia containing ureter: A rare “tortuous” surprise for general surgeons and urologists. J Case Rep Images Urol 2025;10(1):13–16.

ABSTRACT


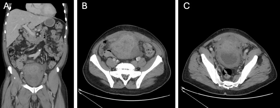
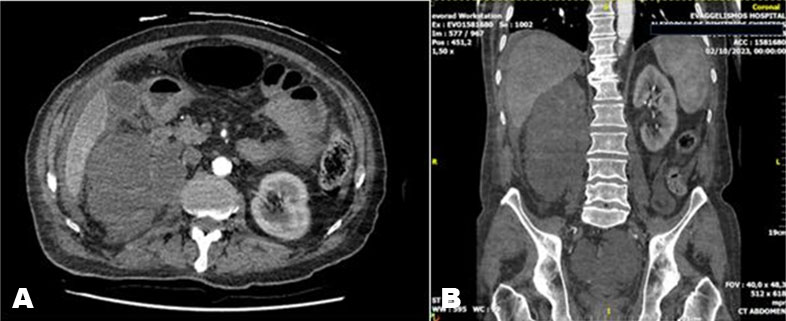
Inguinal hernia is a very common pathology worldwide. Global incidence is about 4–5%. The most commonly involved organs are the abdominal viscera. As far as urology is concerned, urinary bladder is involved in approximately 0.5–4% of all inguinal hernias, while finding the ureters is truly a rarity, about 150 cases worldwide. Ureteral hernias could be an incidental finding but it is important to know about their existence to avoid injury during surgery. We present the case of a 71-year-old man with a finding of right ureteral hernia incidentally diagnosed during computed tomography (CT) scan for an abdominal abscess.

Keywords: Hernia containing ureter, Inguinal hernia, Renal ptosis, Ureteral hernia

SUPPORTING INFORMATION


Author Contributions

Riccardo Farci - Conception of the work, Design of the work, Acquisition of data, Analysis of data, Drafting the work, Revising the work critically for important intellectual content, Final approval of the version to be published, Agree to be accountable for all aspects of the work in ensuring that questions related to the accuracy or integrity of any part of the work are appropriately investigated and resolved.

Andrea Solinas - Conception of the work, Design of the work, Analysis of data, Drafting the work, Revising the work critically for important intellectual content, Final approval of the version to be published, Agree to be accountable for all aspects of the work in ensuring that questions related to the accuracy or integrity of any part of the work are appropriately investigated and resolved.

Guaranter of Submission

The corresponding author is the guarantor of submission.

Source of Support

None

Consent Statement

Written informed consent was obtained from the patient for publication of this article.

Data Availability

All relevant data are within the paper and its Supporting Information files.

Conflict of Interest

Authors declare no conflict of interest.

Copyright

© 2025 Riccardo Farci et al. This article is distributed under the terms of Creative Commons Attribution License which permits unrestricted use, distribution and reproduction in any medium provided the original author(s) and original publisher are properly credited. Please see the copyright policy on the journal website for more information.