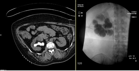
Clinical Image


Atypical acute obstruction of the urinary tract

,  ,  

1 MD, Nephrology Unit, University Hospital of Reunion Island Saint Denis, La Réunion, France

2 MD, Radiology Department, University Hospital of Reunion Island Saint Pierre, La Réunion, France

3 MD, Critical Care Unit, University Hospital of Reunion Island Saint Pierre, La Réunion, France

Address correspondence to:

Marie Julien

Félix-Guyon University Hospital of La Réunion, Allée des topazes, Saint Denis, Réunion Island,

France

Message to Corresponding Author


Article ID: 100047Z15MJ2024

doi: 10.5348/100047Z15MJ2024CI

Access full text article on other devices

Access PDF of article on other devices

How to cite this article

Julien M, El Ramadan S, Rager G. Atypical acute obstruction of the urinary tract. J Case Rep Images Urol 2024;9(2):9–11.

ABSTRACT


No Abstract

Keywords: Acute kidney injury, Curvilinear reconstruction, Ureteral obstruction, Urinary catheter

SUPPORTING INFORMATION


Author Contributions

Marie Julien - Conception of the work, Design of the work, Acquisition of data, Analysis of data, Drafting the work, Revising the work critically for important intellectual content, Final approval of the version to be published, Agree to be accountable for all aspects of the work in ensuring that questions related to the accuracy or integrity of any part of the work are appropriately investigated and resolved.

Sami El Ramadan - Conception of the work, Design of the work, Acquisition of data, Analysis of data, Drafting the work, Revising the work critically for important intellectual content, Final approval of the version to be published, Agree to be accountable for all aspects of the work in ensuring that questions related to the accuracy or integrity of any part of the work are appropriately investigated and resolved.

Gwendoline Rager - Conception of the work, Design of the work, Acquisition of data, Analysis of data, Drafting the work, Revising the work critically for important intellectual content, Final approval of the version to be published, Agree to be accountable for all aspects of the work in ensuring that questions related to the accuracy or integrity of any part of the work are appropriately investigated and resolved.

Guaranter of Submission

The corresponding author is the guarantor of submission.

Source of Support

None

Consent Statement

Written informed consent was obtained from the patient for publication of this article.

Data Availability

All relevant data are within the paper and its Supporting Information files.

Conflict of Interest

Authors declare no conflict of interest.

Copyright

© 2024 Marie Julien et al. This article is distributed under the terms of Creative Commons Attribution License which permits unrestricted use, distribution and reproduction in any medium provided the original author(s) and original publisher are properly credited. Please see the copyright policy on the journal website for more information.