Case Report


Presentation and treatment for reno-duodenal fistula in an acutely ill patient

,  ,  ,  ,  

1 Department of Surgery, Division of Urology, Rutgers New Jersey Medical School, 185 South Orange Avenue, Newark, NJ, USA

Address correspondence to:

Imran M Khawaja

MD, Department of Surgery, Division of Urology, Rutgers New Jersey Medical School, Medical Science Building, 185 South Orange Avenue, Newark, NJ 07103,

USA

Message to Corresponding Author


Article ID: 100046Z15IK2024

doi: 10.5348/100046Z15IK2024CR

Access full text article on other devices

Access PDF of article on other devices

How to cite this article

Khawaja IM, Jain K, Popovic A, Pandher M, Weiss RE. Presentation and treatment for reno-duodenal fistula in an acutely ill patient. J Case Rep Images Urol 2024;9(2):5–8.

ABSTRACT


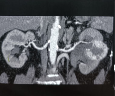
Introduction: Renal duodenal fistulas are a very rare connection due to chronic inflammation or infection secondary to kidney stones.

Case Report: We present a female with right perinephric abscess and reno-duodenal fistula secondary to a long-standing history of kidney stones. Treatment involved drainage of the abscess, nephrostomy tube placement, intravenous antibiotics, and open nephrectomy and duodenal repair with gastrojejunostomy.

Conclusion: In this report, we discuss management strategies which range from conservative treatment of antibiotics to open nephrectomy. In addition, we will discuss the urologic and gastroenterological post-operative complications in this patient.

Keywords: Fistula, Gastrojejunostomy, Nephrectomy, Reno-duodenal fistula

SUPPORTING INFORMATION


Author Contributions

Imran M Khawaja - Conception of the work, Design of the work, Acquisition of data, Analysis of data, Drafting the work, Revising the work critically for important intellectual content, Final approval of the version to be published, Agree to be accountable for all aspects of the work in ensuring that questions related to the accuracy or integrity of any part of the work are appropriately investigated and resolved.

Kunj Jain - Conception of the work, Design of the work, Acquisition of data, Analysis of data, Drafting the work, Revising the work critically for important intellectual content, Final approval of the version to be published, Agree to be accountable for all aspects of the work in ensuring that questions related to the accuracy or integrity of any part of the work are appropriately investigated and resolved.

Aleksandar Popovic - Conception of the work, Design of the work, Acquisition of data, Analysis of data, Drafting the work, Revising the work critically for important intellectual content, Final approval of the version to be published, Agree to be accountable for all aspects of the work in ensuring that questions related to the accuracy or integrity of any part of the work are appropriately investigated and resolved.

Meher Pandher - Conception of the work, Design of the work, Acquisition of data, Analysis of data, Drafting the work, Revising the work critically for important intellectual content, Final approval of the version to be published, Agree to be accountable for all aspects of the work in ensuring that questions related to the accuracy or integrity of any part of the work are appropriately investigated and resolved.

Robert E Weiss - Conception of the work, Design of the work, Acquisition of data, Analysis of data, Drafting the work, Revising the work critically for important intellectual content, Final approval of the version to be published, Agree to be accountable for all aspects of the work in ensuring that questions related to the accuracy or integrity of any part of the work are appropriately investigated and resolved.

Guaranter of Submission

The corresponding author is the guarantor of submission.

Source of Support

None

Consent Statement

Written informed consent was obtained from the patient for publication of this article.

Data Availability

All relevant data are within the paper and its Supporting Information files.

Conflict of Interest

Authors declare no conflict of interest.

Copyright

© 2024 Imran M Khawaja et al. This article is distributed under the terms of Creative Commons Attribution License which permits unrestricted use, distribution and reproduction in any medium provided the original author(s) and original publisher are properly credited. Please see the copyright policy on the journal website for more information.